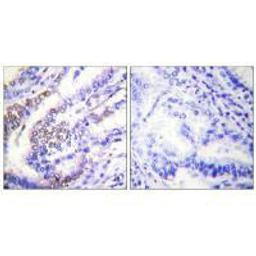
Product & ReviewsAntibodiesCCNE1 AntibodyProduct DetailsCat. No.CSB-PA183203TypePrimary AntibodyClonalityPolyclonalHostRabbit0.0/5.0|0 Reviews|Write your own ReviewImmunohistochemical analysis of paraffin-embedded human lung carcinoma tissue using Cyclin E1 antibody.ReviewsSpecificity rating Sensitivity rating Quality rating Be the first to leave a reviewApplications ELISA (ELISA) Western Blotting (WB) Immunohistochemistry (IHC) Immunofluorescence (IF)Antibody OverviewCCNE1 Antibody0.0/5.0|0 Reviews