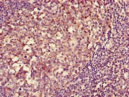
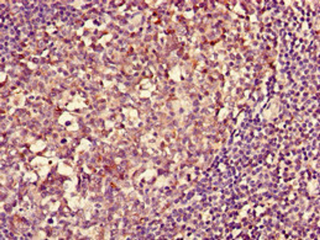
Product & ReviewsAntibodiesHLA-DQA1 Antibody, Biotin conjugatedProduct DetailsCat. No.CSB-PA14839D0RbTypePrimary AntibodyClonalityPolyclonalHostRabbit0.0/5.0|0 Reviews|Write your own ReviewImmunohistochemistry of paraffin-embedded human tonsil tissue using CSB-PA14839D0Rb at dilution of 1:100ReviewsSpecificity rating Sensitivity rating Quality rating Be the first to leave a reviewApplications ELISA (ELISA) Immunohistochemistry (IHC)Antibody OverviewHLA-DQA1 Antibody, Biotin conjugated0.0/5.0|0 Reviews