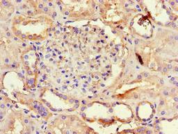
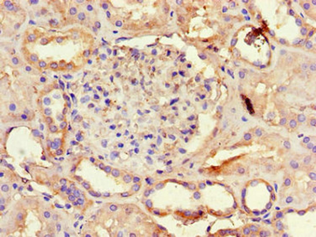
Product & ReviewsAntibodiesAQP3 AntibodyProduct DetailsCat. No.CSB-PA13909A0RbTypePrimary AntibodyClonalityPolyclonalHostRabbit0.0/5.0|0 Reviews|Write your own ReviewImmunohistochemistry of paraffin-embedded human kidney tissue using CSB-PA13909A0Rb at dilution of 1:100ReviewsSpecificity rating Sensitivity rating Quality rating Be the first to leave a reviewApplications ELISA (ELISA) Immunohistochemistry (IHC) Immunofluorescence (IF)Antibody OverviewAQP3 Antibody0.0/5.0|0 Reviews