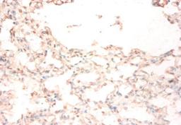
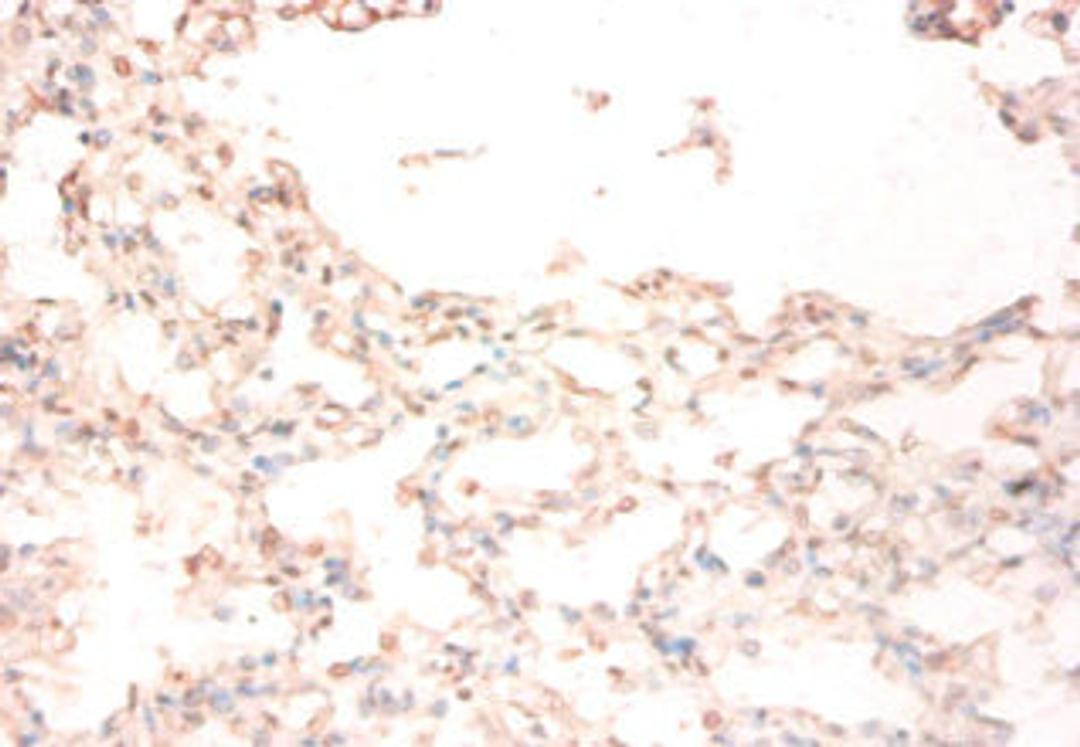
Product & ReviewsAntibodiesSTEAP1 AntibodyProduct DetailsCat. No.CSB-PA13354A0RbTypePrimary AntibodyClonalityPolyclonalHostRabbit0.0/5.0|0 Reviews|Write your own ReviewImmunohistochemistry of paraffin-embedded human lung tissue using CSB-PA13354A0Rb at dilution of 1:50ReviewsSpecificity rating Sensitivity rating Quality rating Be the first to leave a reviewApplications ELISA (ELISA) Western Blotting (WB) Immunohistochemistry (IHC) Immunofluorescence (IF)Antibody OverviewSTEAP1 Antibody0.0/5.0|0 Reviews