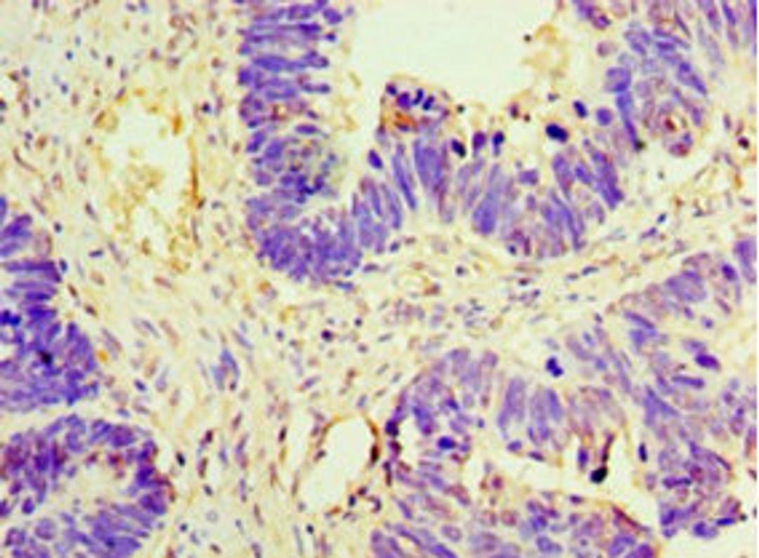
Product & ReviewsAntibodiesAMH AntibodyProduct DetailsCat. No.CSB-PA12639A0RbTypePrimary AntibodyClonalityPolyclonalHostRabbit0.0/5.0|0 Reviews|Write your own ReviewImmunohistochemistry of paraffin-embedded human ovarian cancer using CSB-PA12639A0Rb at dilution of 1:100ReviewsSpecificity rating Sensitivity rating Quality rating Be the first to leave a reviewApplications ELISA (ELISA) Western Blotting (WB) Immunohistochemistry (IHC) Immunofluorescence (IF)Antibody OverviewAMH Antibody0.0/5.0|0 Reviews