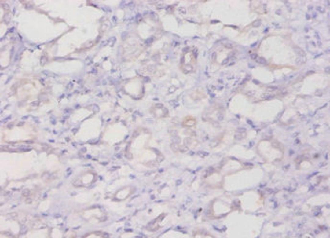
Product & ReviewsAntibodiesFTL AntibodyProduct DetailsCat. No.CSB-PA11409A0RbTypePrimary AntibodyClonalityPolyclonalHostRabbit0.0/5.0|0 Reviews|Write your own ReviewImmunohistochemistry of paraffin-embedded human kidney tissue using CSB-PA11409A0Rb at dilution of 1:20ReviewsSpecificity rating Sensitivity rating Quality rating Be the first to leave a reviewApplications ELISA (ELISA) Immunohistochemistry (IHC) Immunofluorescence (IF)Antibody OverviewFTL Antibody0.0/5.0|0 Reviews