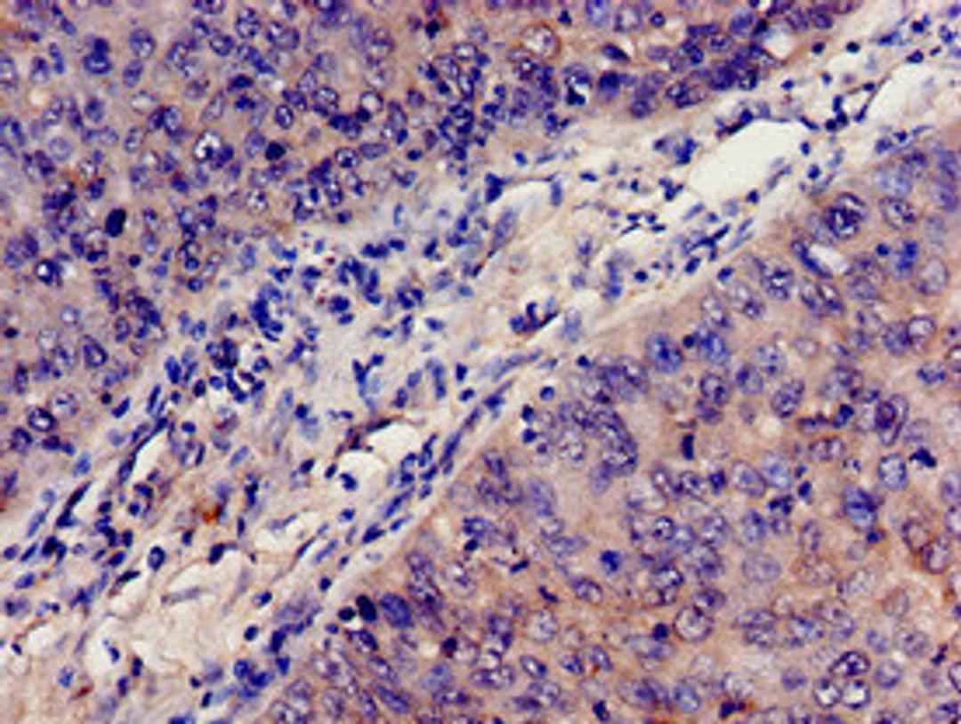
Product & ReviewsAntibodiesC3 AntibodyProduct DetailsCat. No.CSB-PA10599A0RbTypePrimary AntibodyClonalityPolyclonalHostRabbit0.0/5.0|0 Reviews|Write your own ReviewImmunohistochemistry analysis of human cervical cancer using CSB-PA10599A0Rb at dilution of 1:100ReviewsSpecificity rating Sensitivity rating Quality rating Be the first to leave a reviewApplications ELISA (ELISA) Immunohistochemistry (IHC) Immunofluorescence (IF)Antibody OverviewC3 Antibody0.0/5.0|0 Reviews