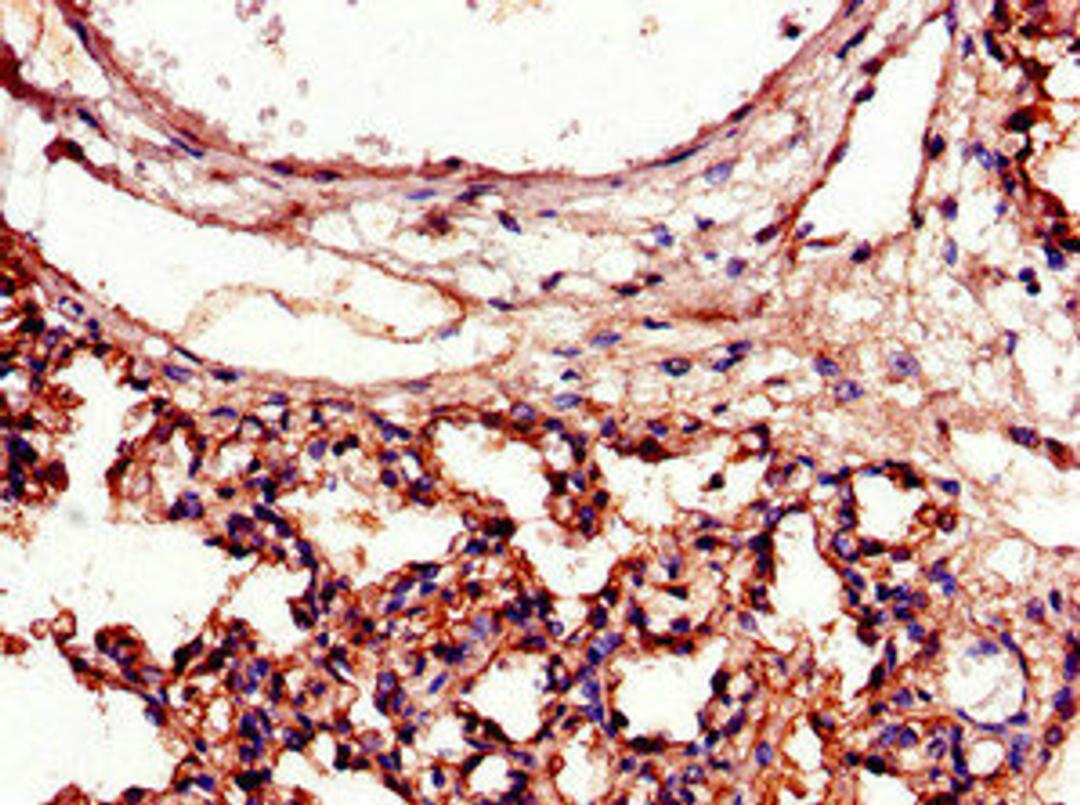
Product & ReviewsAntibodiesICAM1 AntibodyProduct DetailsCat. No.CSB-PA07149A0RbTypePrimary AntibodyClonalityPolyclonalHostRabbit0.0/5.0|0 Reviews|Write your own ReviewImmunohistochemistry of paraffin-embedded human lung tissue using CSB-PA07149A0Rb at dilution of 1:100ReviewsSpecificity rating Sensitivity rating Quality rating Be the first to leave a reviewApplications ELISA (ELISA) Western Blotting (WB) Immunohistochemistry (IHC) Immunofluorescence (IF)Antibody OverviewICAM1 Antibody0.0/5.0|0 Reviews