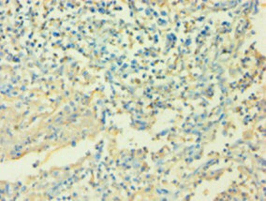
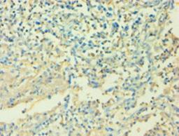
Product & ReviewsAntibodiesIL6 AntibodyProduct DetailsCat. No.CSB-PA06757A0RbTypePrimary AntibodyClonalityPolyclonalHostRabbit0.0/5.0|0 Reviews|Write your own ReviewImmunohistochemistry of paraffin-embedded human cervical cancer using CSB-PA06757A0Rb at dilution of 1:100ReviewsSpecificity rating Sensitivity rating Quality rating Be the first to leave a reviewApplications ELISA (ELISA) Western Blotting (WB) Immunohistochemistry (IHC)Antibody OverviewIL6 Antibody0.0/5.0|0 Reviews