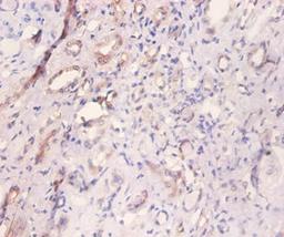
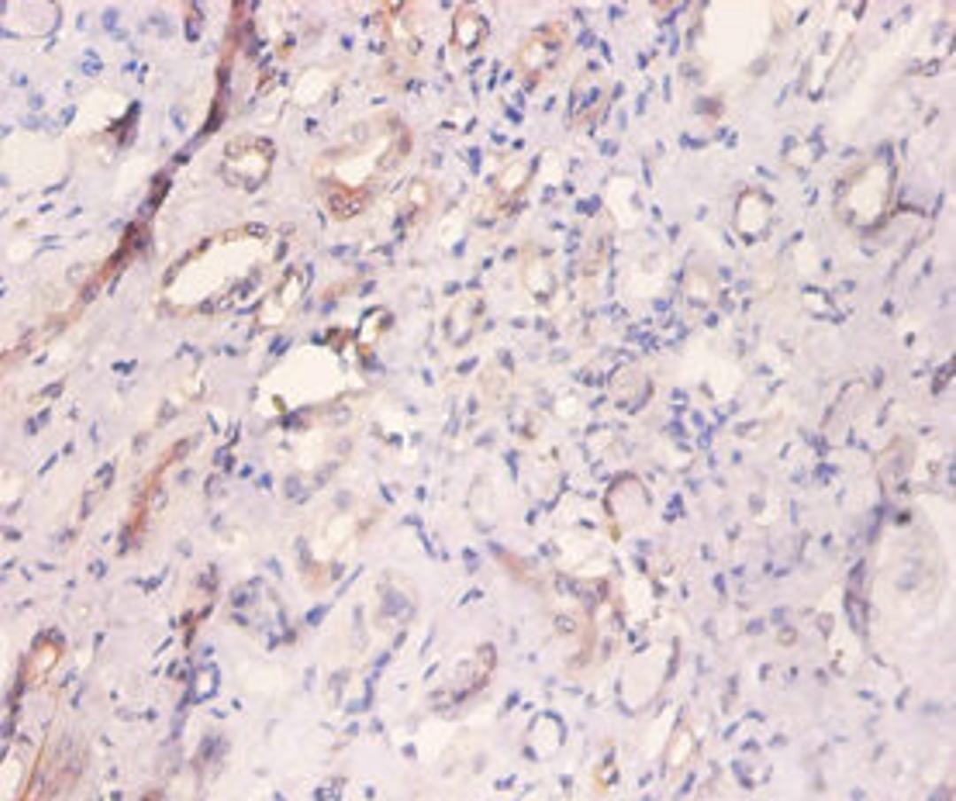
Product & ReviewsAntibodiesMYL6 AntibodyProduct DetailsCat. No.CSB-PA05154A0RbTypePrimary AntibodyClonalityPolyclonalHostRabbit0.0/5.0|0 Reviews|Write your own ReviewImmunohistochemistry of paraffin-embedded human kidney tissue using CSB-PA05154A0Rb at dilution of 1:100ReviewsSpecificity rating Sensitivity rating Quality rating Be the first to leave a reviewApplications ELISA (ELISA) Immunohistochemistry (IHC) Immunofluorescence (IF)Antibody OverviewMYL6 Antibody0.0/5.0|0 Reviews