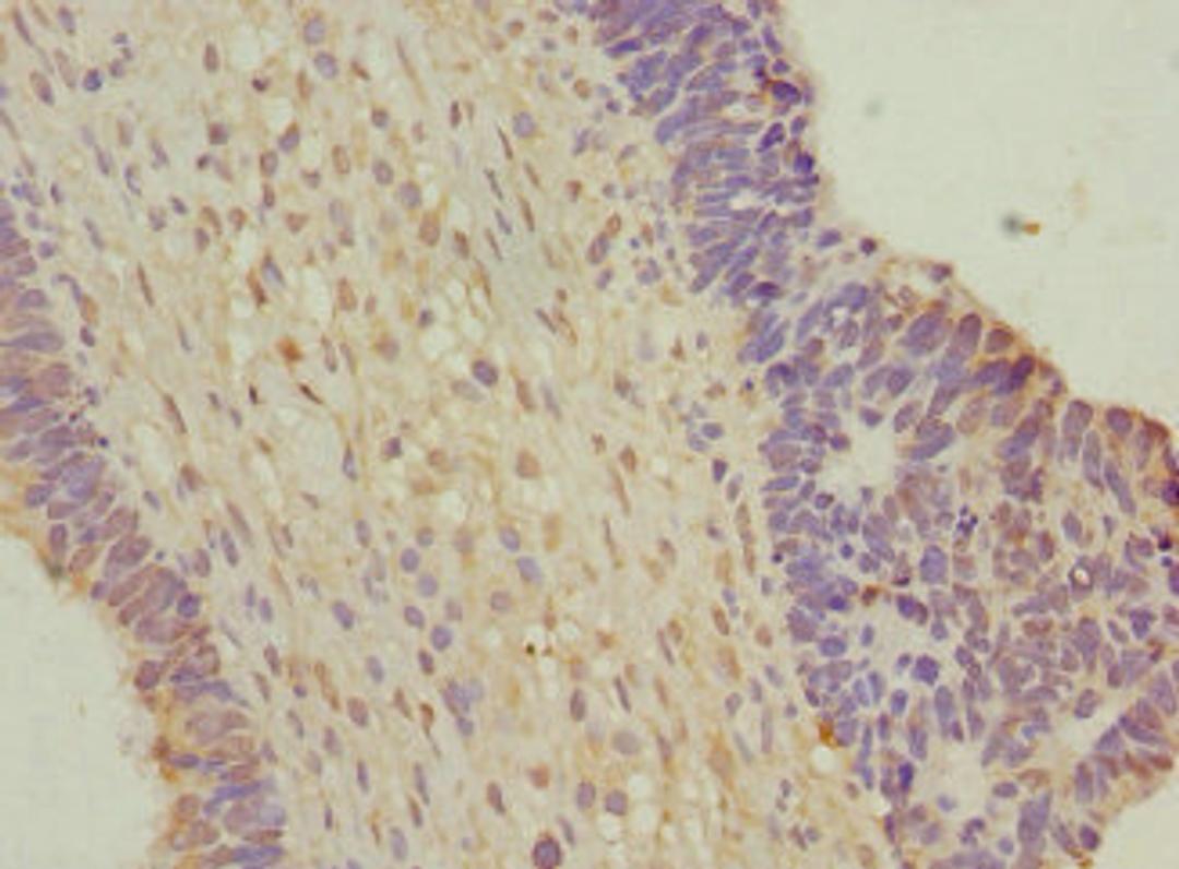
Product & ReviewsAntibodiesWNT7B AntibodyProduct DetailsCat. No.CSB-PA026142ESR2HUTypePrimary AntibodyClonalityPolyclonalHostRabbit0.0/5.0|0 Reviews|Write your own ReviewImmunohistochemistry of paraffin-embedded human ovarian cancer using CSB-PA026142ESR2HU at dilution of 1:100ReviewsSpecificity rating Sensitivity rating Quality rating Be the first to leave a reviewApplications ELISA (ELISA) Western Blotting (WB) Immunohistochemistry (IHC)Antibody OverviewWNT7B Antibody0.0/5.0|0 Reviews