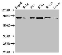
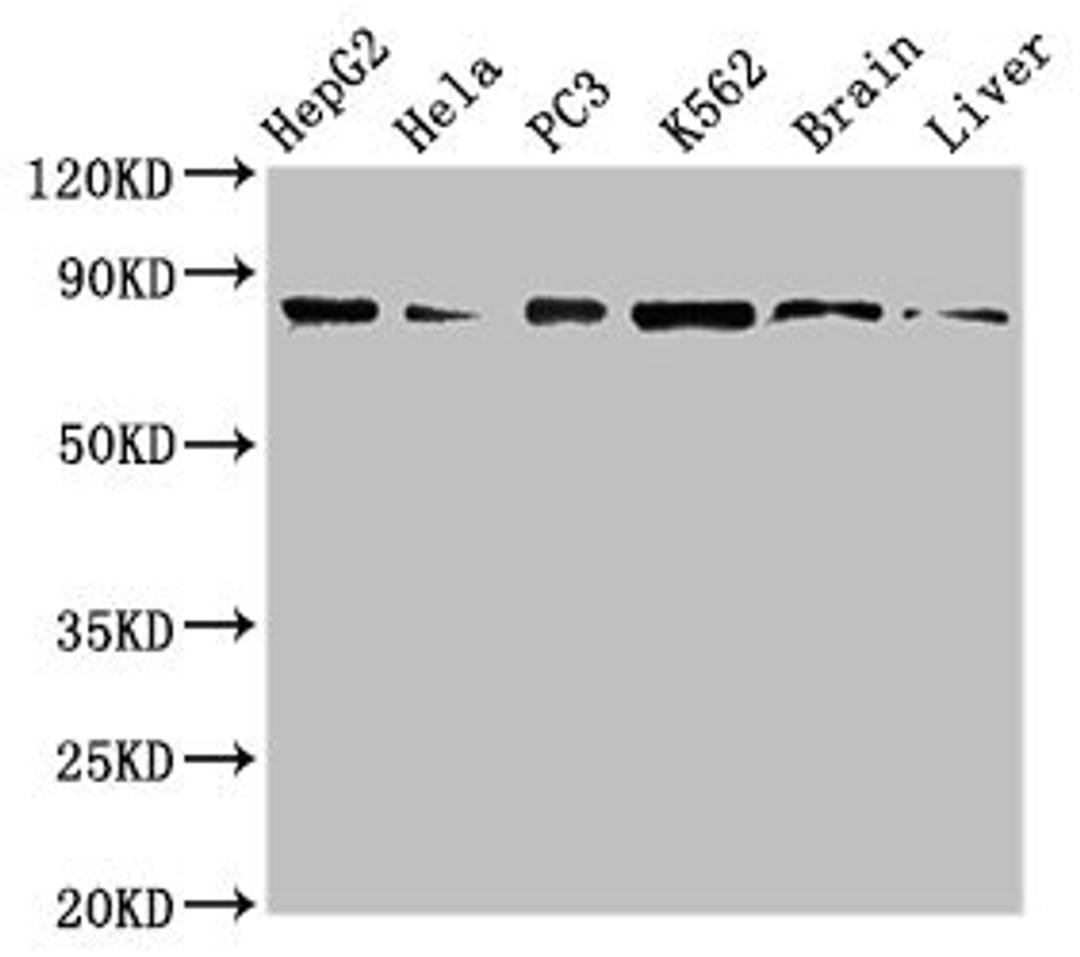
Product & ReviewsAntibodiesSTAT4 AntibodyProduct DetailsCat. No.CSB-PA022813EA01HUTypePrimary AntibodyClonalityPolyclonalHostRabbit0.0/5.0|0 Reviews|Write your own ReviewWestern Blot. Positive WB detected in: HepG2 whole cell lysate, Hela whole cell lysate, PC-3 whole cell lysate, K562 whole cell lyaste, Mouse brain tissue, Rat liver tissue. All lanes: STAT4 antibody at 1µg/ml. Secondary. Goat polyclonal to rabbit IgG at 1/50000 dilution. Predicted band size: 86 kDa. Observed band size: 86 kDaReviewsSpecificity rating Sensitivity rating Quality rating Be the first to leave a reviewApplications ELISA (ELISA) Western Blotting (WB) Immunohistochemistry (IHC) Immunofluorescence (IF)Antibody OverviewSTAT4 Antibody0.0/5.0|0 Reviews