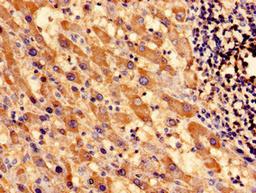
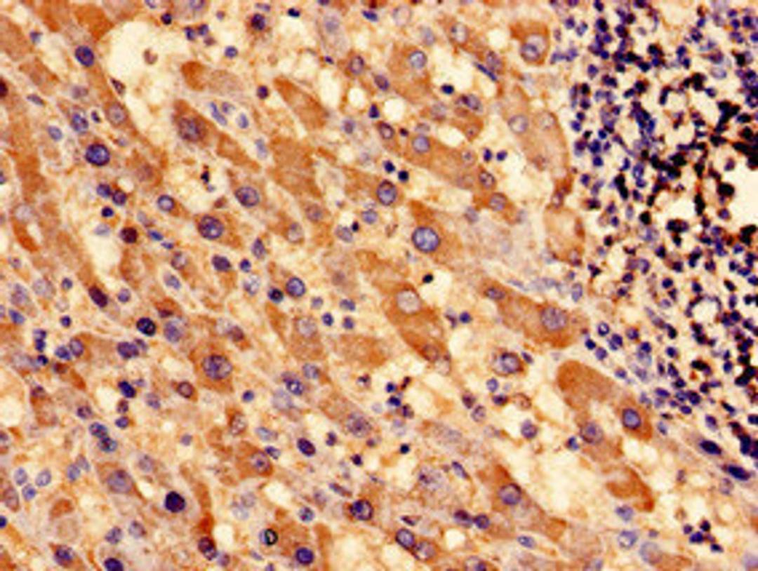
Product & ReviewsAntibodiesSOCS3 AntibodyProduct DetailsCat. No.CSB-PA022392EA01HUTypePrimary AntibodyClonalityPolyclonalHostRabbit0.0/5.0|0 Reviews|Write your own ReviewImmunocytochemistry analysis of human liver cancer using CSB-PA022392EA01HU at dilution of 1:100ReviewsSpecificity rating Sensitivity rating Quality rating Be the first to leave a reviewApplications ELISA (ELISA) Immunohistochemistry (IHC) Immunofluorescence (IF)Antibody OverviewSOCS3 Antibody0.0/5.0|0 Reviews