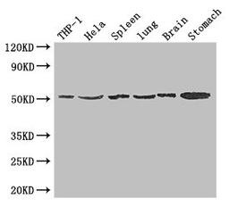
Product & ReviewsAntibodiesMSR1 AntibodyProduct DetailsCat. No.CSB-PA015050LA01HUTypePrimary AntibodyClonalityPolyclonalHostRabbit0.0/5.0|0 Reviews|Write your own ReviewWestern Blot. Positive WB detected in: THP-1 whole cell lysate, Hela whole cell lysate, Mouse spleen tissue, Mouse lung tissue, Mouse brain tissue, Mouse stomach tissue. All lanes: MSR1 antibody at 1.5ug/ml. Secondary. Goat polyclonal to rabbit IgG at 1/50000 dilution. Predicted band size: 50, 40, 43 kDa. Observed band size: 50 kDa. ReviewsSpecificity rating Sensitivity rating Quality rating Be the first to leave a reviewApplications ELISA (ELISA) Western Blotting (WB) Immunohistochemistry (IHC)Antibody OverviewMSR1 Antibody0.0/5.0|0 Reviews