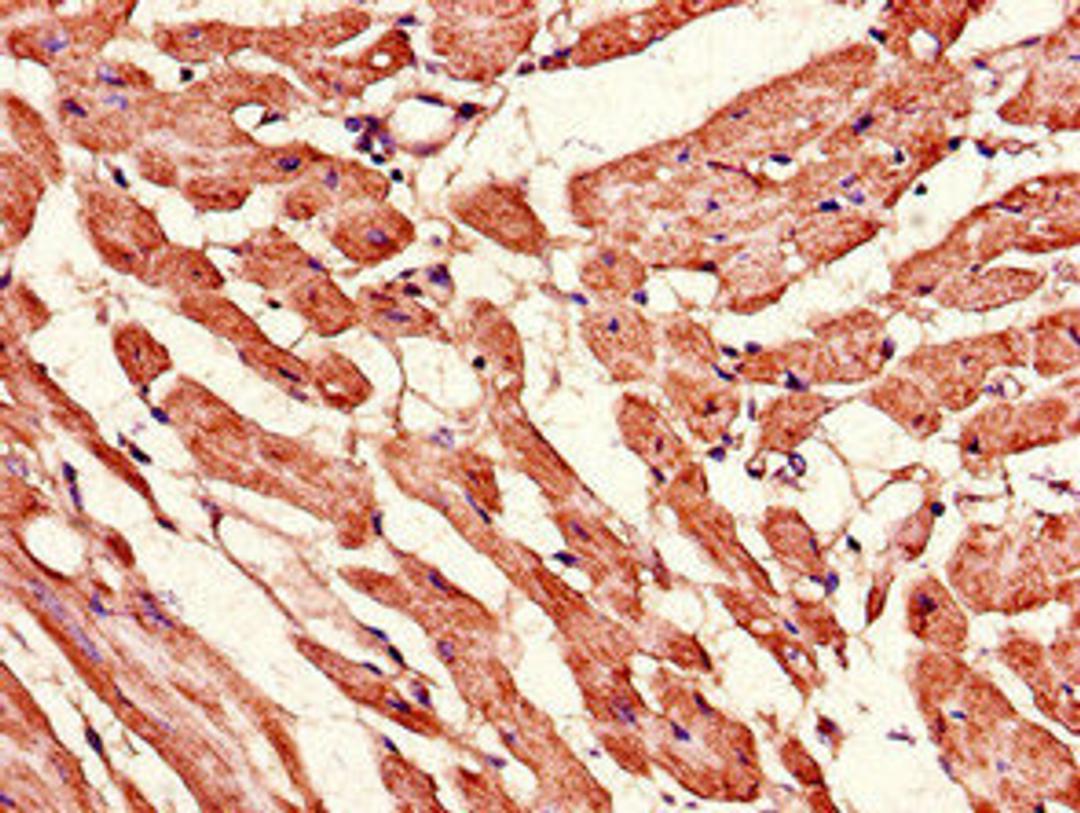
Product & ReviewsAntibodiesMFN2 AntibodyProduct DetailsCat. No.CSB-PA013756LA01HUTypePrimary AntibodyClonalityPolyclonalHostRabbit0.0/5.0|0 Reviews|Write your own ReviewImmunohistochemistry of paraffin-embedded human heart tissue using CSB-PA013756LA01HU at dilution of 1:100ReviewsSpecificity rating Sensitivity rating Quality rating Be the first to leave a reviewApplications ELISA (ELISA) Western Blotting (WB) Immunohistochemistry (IHC)Antibody OverviewMFN2 Antibody0.0/5.0|0 Reviews