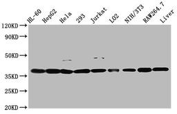
Product & ReviewsAntibodiesMDH1 AntibodyProduct DetailsCat. No.CSB-PA013621EA01HUTypePrimary AntibodyClonalityPolyclonalHostRabbit0.0/5.0|0 Reviews|Write your own ReviewWestern Blot. Positive WB detected in: HL60 whole cell lysate, HepG2 whole cell lysate, Hela whole cell lysate, 293 whole cell lysate, Jurkat whole cell lysate, LO2 whole cell lysate, NIH/3T3 whole cell lysate, RAW264.7 whole cell lysate, Mouse liver tissue. All lanes: MDH1 antibody at 2.6µg/ml. Secondary. Goat polyclonal to rabbit IgG at 1/50000 dilution. Predicted band size: 37, 28, 39 kDa. Observed band size: 37 kDaReviewsSpecificity rating Sensitivity rating Quality rating Be the first to leave a reviewApplications ELISA (ELISA) Western Blotting (WB) Immunohistochemistry (IHC) Immunofluorescence (IF)Antibody OverviewMDH1 Antibody0.0/5.0|0 Reviews