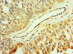
Product & ReviewsAntibodiesMAP2K3 AntibodyProduct DetailsCat. No.CSB-PA013412ESR1HUTypePrimary AntibodyClonalityPolyclonalHostRabbit0.0/5.0|0 Reviews|Write your own ReviewImmunohistochemistry of paraffin-embedded human endometrial cancer using CSB-PA013412ESR1HU at dilution of 1:100ReviewsSpecificity rating Sensitivity rating Quality rating Be the first to leave a reviewApplications ELISA (ELISA) Immunohistochemistry (IHC)Antibody OverviewMAP2K3 Antibody0.0/5.0|0 Reviews