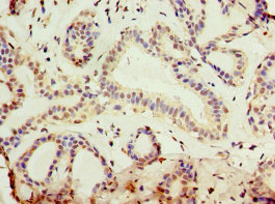
Product & ReviewsAntibodiesKLF3 AntibodyProduct DetailsCat. No.CSB-PA012393DSR2HUTypePrimary AntibodyClonalityPolyclonalHostRabbit0.0/5.0|0 Reviews|Write your own ReviewImmunohistochemistry of paraffin-embedded human breast cancer using CSB-PA012393DSR2HU at dilution of 1:100ReviewsSpecificity rating Sensitivity rating Quality rating Be the first to leave a reviewApplications ELISA (ELISA) Immunohistochemistry (IHC)Antibody OverviewKLF3 Antibody0.0/5.0|0 Reviews