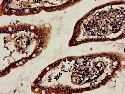
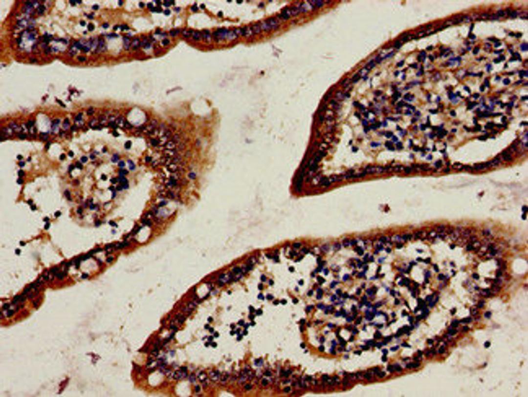
Product & ReviewsAntibodiesHTR1A AntibodyProduct DetailsCat. No.CSB-PA010881LA01HUTypePrimary AntibodyClonalityPolyclonalHostRabbit0.0/5.0|0 Reviews|Write your own ReviewImmunohistochemistry analysis of human small intestine tissue using CSB-PA010881LA01HU at dilution of 1:100ReviewsSpecificity rating Sensitivity rating Quality rating Be the first to leave a reviewApplications ELISA (ELISA) Immunohistochemistry (IHC) Immunofluorescence (IF)Antibody OverviewHTR1A Antibody0.0/5.0|0 Reviews