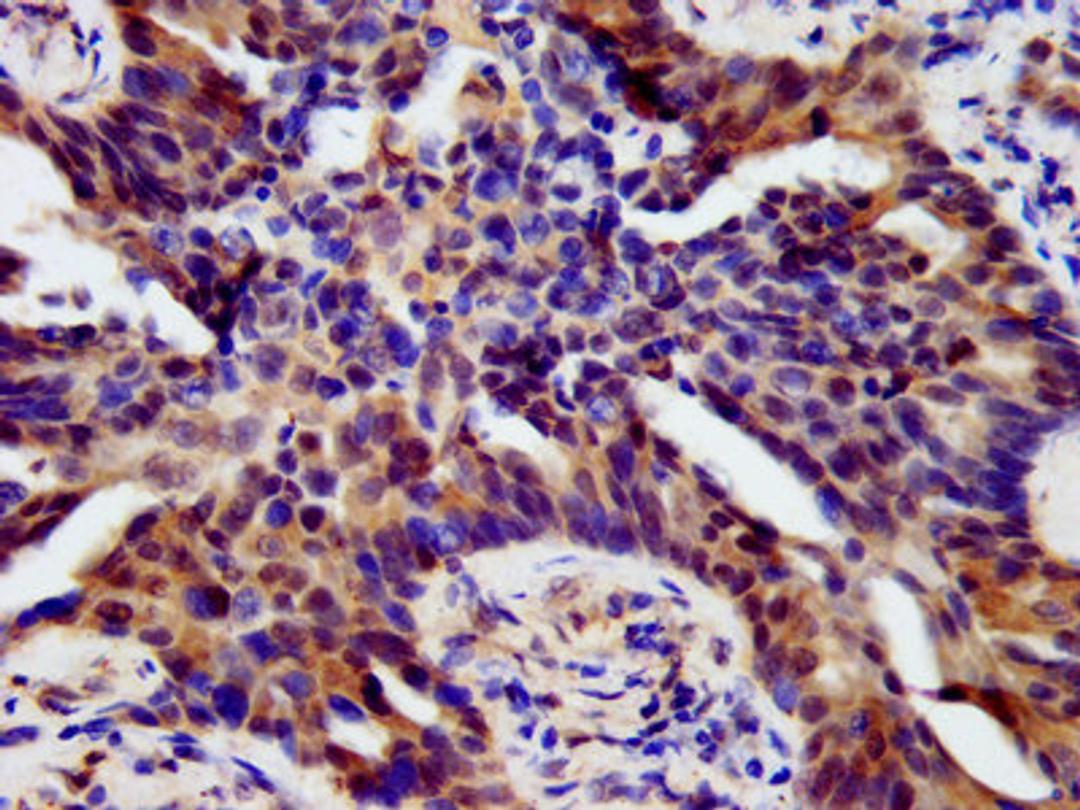
Product & ReviewsAntibodiesHOXB4 AntibodyProduct DetailsCat. No.CSB-PA010664LA01HUTypePrimary AntibodyClonalityPolyclonalHostRabbit0.0/5.0|0 Reviews|Write your own ReviewIHC image of CSB-PA010664LA01HU diluted at 1:500 and staining in paraffin-embedded human lung cancer performed on a Leica BondTM system.ReviewsSpecificity rating Sensitivity rating Quality rating Be the first to leave a reviewApplications ELISA (ELISA) Immunohistochemistry (IHC) Immunofluorescence (IF)Antibody OverviewHOXB4 Antibody0.0/5.0|0 Reviews