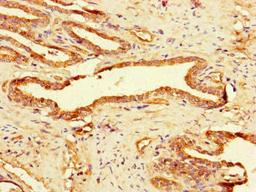
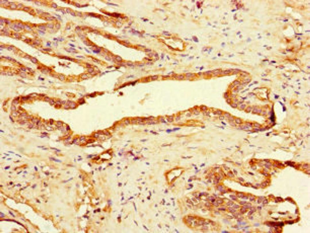
Product & ReviewsAntibodiesGAA AntibodyProduct DetailsCat. No.CSB-PA009125LA01HUTypePrimary AntibodyClonalityPolyclonalHostRabbit0.0/5.0|0 Reviews|Write your own ReviewImmunohistochemistry of paraffin-embedded human prostate cancer using CSB-PA009125LA01HU at dilution of 1:100ReviewsSpecificity rating Sensitivity rating Quality rating Be the first to leave a reviewApplications ELISA (ELISA) Western Blotting (WB) Immunohistochemistry (IHC) Immunofluorescence (IF)Antibody OverviewGAA Antibody0.0/5.0|0 Reviews