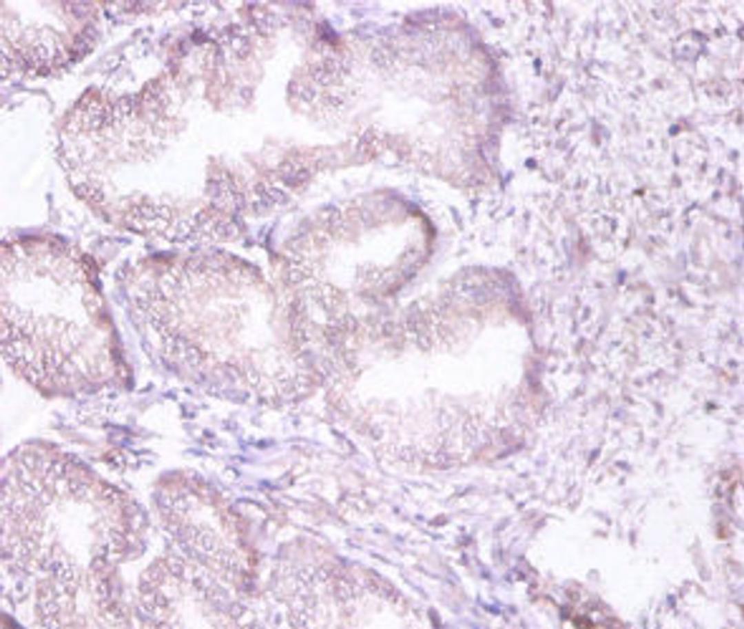
Product & ReviewsAntibodiesPSMD11 AntibodyProduct DetailsCat. No.CSB-PA00575A0RbTypePrimary AntibodyClonalityPolyclonalHostRabbit0.0/5.0|0 Reviews|Write your own ReviewImmunohistochemistry of paraffin-embedded human prostate tissue using CSB-PA00575A0Rb at dilution of 1:100ReviewsSpecificity rating Sensitivity rating Quality rating Be the first to leave a reviewApplications ELISA (ELISA) Immunohistochemistry (IHC) Immunofluorescence (IF)Antibody OverviewPSMD11 Antibody0.0/5.0|0 Reviews