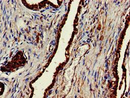
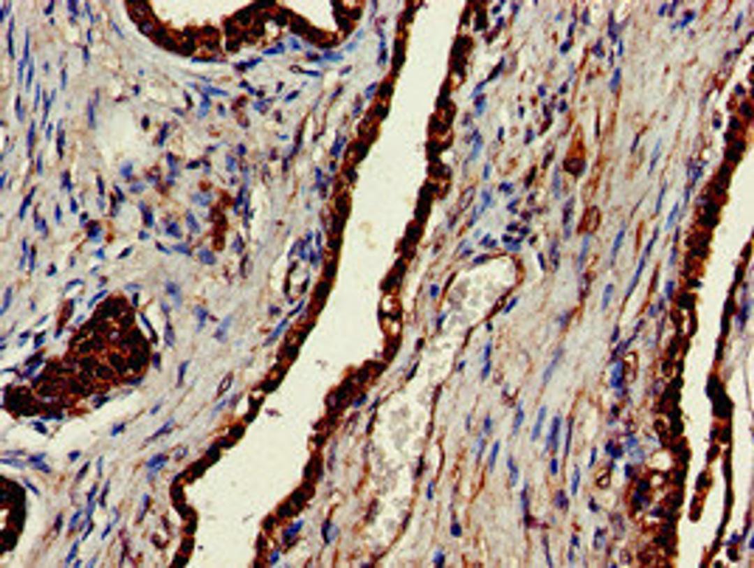
Product & ReviewsAntibodiesCLINT1 AntibodyProduct DetailsCat. No.CSB-PA005552LA01HUTypePrimary AntibodyClonalityPolyclonalHostRabbit0.0/5.0|0 Reviews|Write your own ReviewImmunohistochemistry of paraffin-embedded human prostate cancer using CSB-PA005552LA01HU at dilution of 1:100ReviewsSpecificity rating Sensitivity rating Quality rating Be the first to leave a reviewApplications ELISA (ELISA) Western Blotting (WB) Immunohistochemistry (IHC)Antibody OverviewCLINT1 Antibody0.0/5.0|0 Reviews