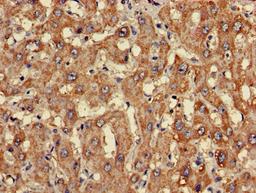
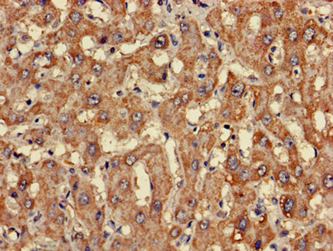
Product & ReviewsAntibodiesCLASP2 AntibodyProduct DetailsCat. No.CSB-PA005472LA01HUTypePrimary AntibodyClonalityPolyclonalHostRabbit0.0/5.0|0 Reviews|Write your own ReviewImmunohistochemistry of paraffin-embedded human liver cancer using CSB-PA005472LA01HU at dilution of 1:100ReviewsSpecificity rating Sensitivity rating Quality rating Be the first to leave a reviewApplications ELISA (ELISA) Immunohistochemistry (IHC) Immunoprecipitation (IP)Antibody OverviewCLASP2 Antibody0.0/5.0|0 Reviews