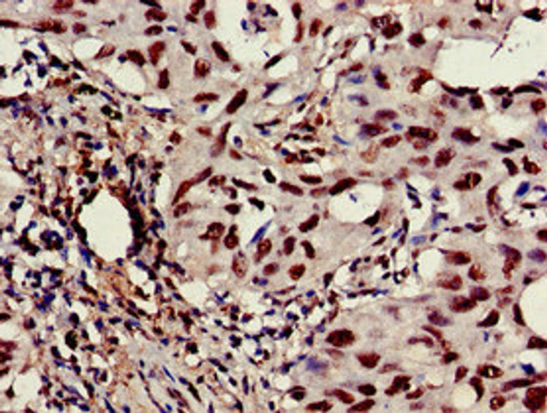
Product & ReviewsAntibodiesCASP6 AntibodyProduct DetailsCat. No.CSB-PA004551EA01HUTypePrimary AntibodyClonalityPolyclonalHostRabbit0.0/5.0|0 Reviews|Write your own ReviewImmunohistochemistry of paraffin-embedded human lung cancer using CSB-PA004551EA01HU at dilution of 1:100ReviewsSpecificity rating Sensitivity rating Quality rating Be the first to leave a reviewApplications ELISA (ELISA) Western Blotting (WB) Immunohistochemistry (IHC)Antibody OverviewCASP6 Antibody0.0/5.0|0 Reviews