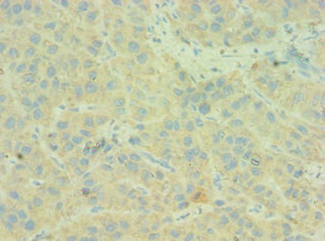
Product & ReviewsAntibodiesC4BPB AntibodyProduct DetailsCat. No.CSB-PA003954ESR2HUTypePrimary AntibodyClonalityPolyclonalHostRabbit0.0/5.0|0 Reviews|Write your own ReviewImmunohistochemistry of paraffin-embedded human liver cancer using CSB-PA003954ESR2HU at dilution of 1:100ReviewsSpecificity rating Sensitivity rating Quality rating Be the first to leave a reviewApplications ELISA (ELISA) Immunohistochemistry (IHC) Immunoprecipitation (IP)Antibody OverviewC4BPB Antibody0.0/5.0|0 Reviews