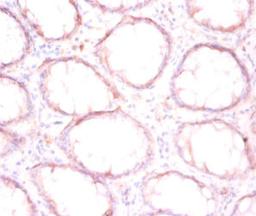
Product & ReviewsAntibodiesP4HB AntibodyProduct DetailsCat. No.CSB-PA00254A0RbTypePrimary AntibodyClonalityPolyclonalHostRabbit0.0/5.0|0 Reviews|Write your own ReviewImmunohistochemistry of paraffin-embedded human colon cancer using CSB-PA00254A0Rb at dilution of 1:50ReviewsSpecificity rating Sensitivity rating Quality rating Be the first to leave a reviewApplications ELISA (ELISA) Western Blotting (WB) Immunohistochemistry (IHC)Antibody OverviewP4HB Antibody0.0/5.0|0 Reviews