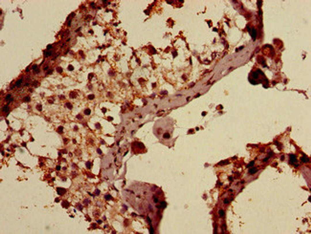
Product & ReviewsAntibodiesAP1S3 Antibody, Biotin conjugatedProduct DetailsCat. No.CSB-PA001868ED01HUTypePrimary AntibodyClonalityPolyclonalHostRabbit0.0/5.0|0 Reviews|Write your own ReviewImmunohistochemistry of paraffin-embedded human testis tissue using CSB-PA001868ED01HU at dilution of 1:100ReviewsSpecificity rating Sensitivity rating Quality rating Be the first to leave a reviewApplications ELISA (ELISA) Immunohistochemistry (IHC)Antibody OverviewAP1S3 Antibody, Biotin conjugated0.0/5.0|0 Reviews