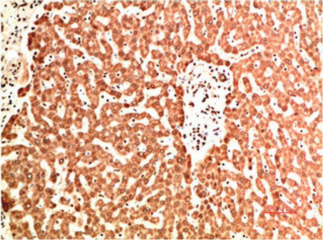
Product & ReviewsAntibodiesCOL4A1 Monoclonal AntibodyProduct DetailsCat. No.CSB-MA562279TypePrimary AntibodyClonalityMonoclonalHostMouse0.0/5.0|0 Reviews|Write your own ReviewImmunohistochemical analysis of paraffin-embedded Human Liver Carcinoma Tissue using Collagen IV Mouse mAb diluted at 1:200.ReviewsSpecificity rating Sensitivity rating Quality rating Be the first to leave a reviewApplications ELISA (ELISA) Immunohistochemistry (IHC)Antibody OverviewCOL4A1 Monoclonal Antibody0.0/5.0|0 Reviews