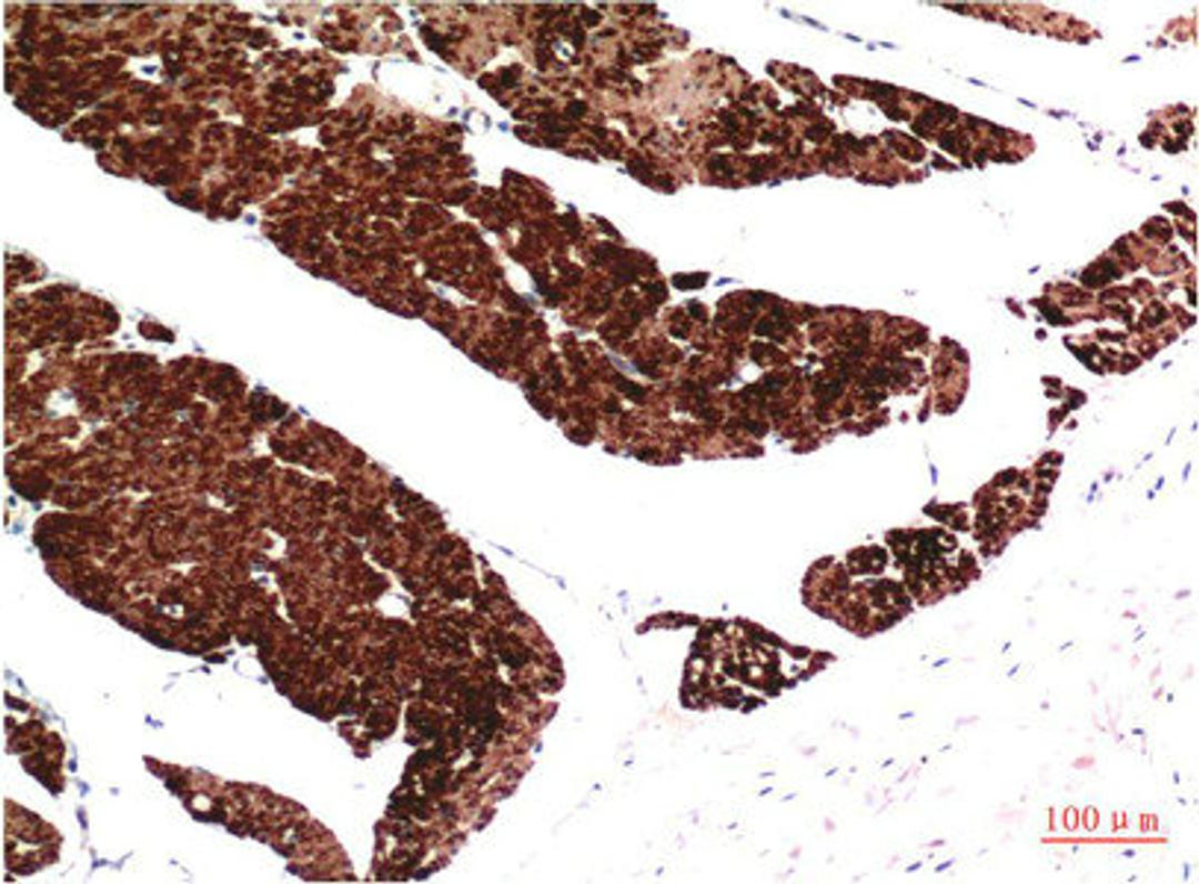
Product & ReviewsAntibodiesMuscle actin Monoclonal AntibodyProduct DetailsCat. No.CSB-MA379004TypePrimary AntibodyClonalityMonoclonalHostMouse0.0/5.0|0 Reviews|Write your own ReviewImmunohistochemical analysis of paraffin-embedded Human Colon Carcinoma Tissue using Muscle Actin Mouse mAb diluted at 1:200.ReviewsSpecificity rating Sensitivity rating Quality rating Be the first to leave a reviewApplications ELISA (ELISA) Immunohistochemistry (IHC)Antibody OverviewMuscle actin Monoclonal Antibody0.0/5.0|0 Reviews