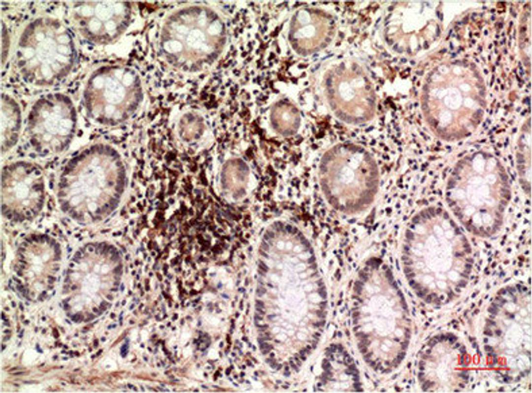
Product & ReviewsAntibodiesTUBE1 Monoclonal AntibodyProduct DetailsCat. No.CSB-MA310930TypePrimary AntibodyClonalityMonoclonalHostMouse0.0/5.0|0 Reviews|Write your own ReviewImmunohistochemical analysis of paraffin-embedded Human Colon Carcinoma Tissue using Epsilon Tubulin Mouse mAb diluted at 1:200.ReviewsSpecificity rating Sensitivity rating Quality rating Be the first to leave a reviewApplications ELISA (ELISA) Immunohistochemistry (IHC)Antibody OverviewTUBE1 Monoclonal Antibody0.0/5.0|0 Reviews