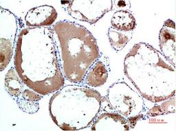
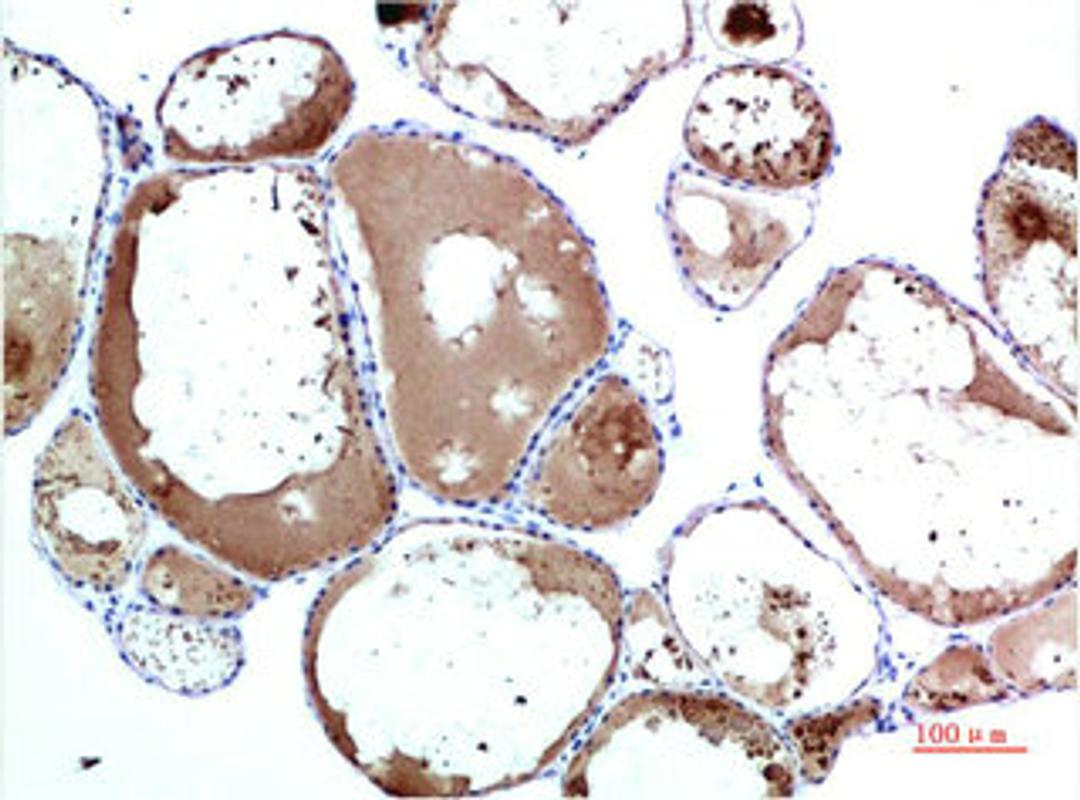
Product & ReviewsAntibodiesTTR Monoclonal AntibodyProduct DetailsCat. No.CSB-MA306092TypePrimary AntibodyClonalityMonoclonalHostMouse0.0/5.0|0 Reviews|Write your own ReviewImmunohistochemical analysis of paraffin-embedded Human Thyroid Tissue using TTR Mouse mAb diluted at 1:200.ReviewsSpecificity rating Sensitivity rating Quality rating Be the first to leave a reviewApplications ELISA (ELISA) Western Blotting (WB) Immunohistochemistry (IHC)Antibody OverviewTTR Monoclonal Antibody0.0/5.0|0 Reviews