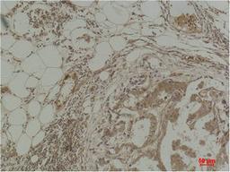
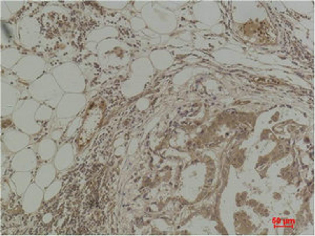
Product & ReviewsAntibodiesPan Methylated Lysine Monoclonal AntibodyProduct DetailsCat. No.CSB-MA080224TypePrimary AntibodyClonalityMonoclonalHostMouse0.0/5.0|0 Reviews|Write your own ReviewImmunohistochemical analysis of paraffin-embedded Human Breast Carcinoma using Pan Methylated Lysine Monoclonal Antibody.ReviewsSpecificity rating Sensitivity rating Quality rating Be the first to leave a reviewApplications ELISA (ELISA) Western Blotting (WB) Immunohistochemistry (IHC)Antibody OverviewPan Methylated Lysine Monoclonal Antibody0.0/5.0|0 Reviews