Product & ReviewsAntibodies
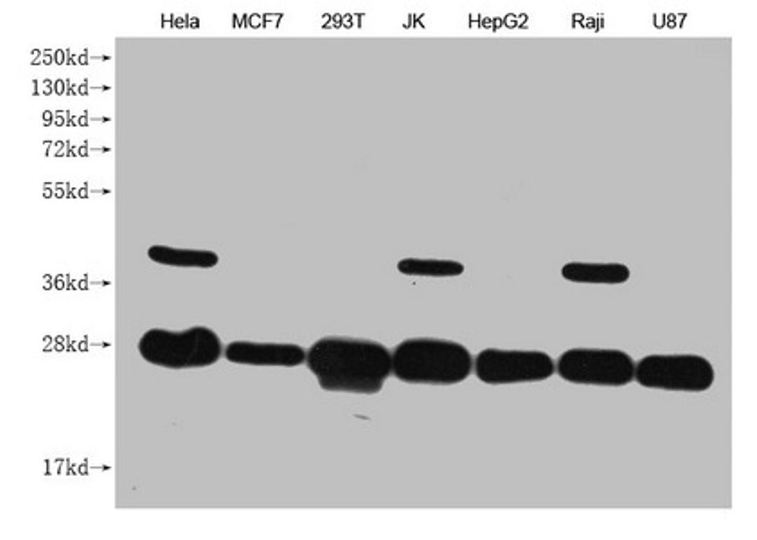
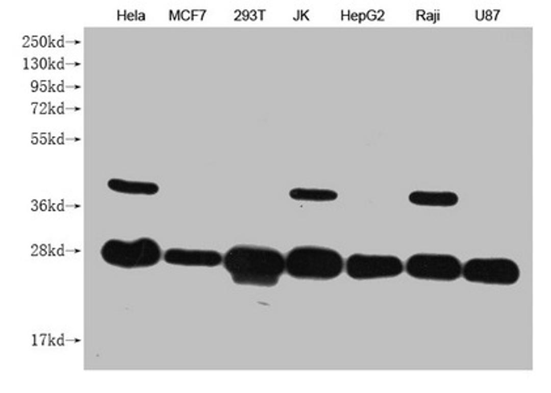
PRDX3 Monoclonal Antibody
Product Details
- Cat. No.
- CSB-MA018656A0m
- Type
- Primary Antibody
- Clonality
- Monoclonal
- Host
- Mouse
Reviews
Applications
- ELISA (ELISA)
- Western Blotting (WB)
- Immunohistochemistry (IHC)
- Immunofluorescence (IF)
- Flow Cytometry (FC)


