SelectScience
  • (Opens in new tab)
  • (Opens in new tab)
  • (Opens in new tab)
Join Free
Accelerating Science
  1. Home
  2. /Antibody
  3. /CD68 Monoclonal Antibody
Product & ReviewsAntibodies

CD68 Monoclonal Antibody

Product Details

Cat. No.
CSB-MA000323
Type
Primary Antibody
Clonality
Monoclonal
Host
Mouse
0.0/5.0
|0 Reviews|Write your own Review
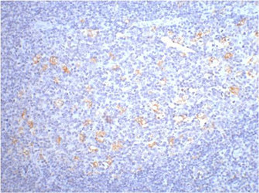
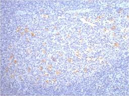
  • IHC staining of human tonsil tissue, diluted at 1:200.

    IHC staining of human tonsil tissue, diluted at 1:200.

  • IHC staining of human tonsil tissue, diluted at 1:200.

Reviews

Specificity rating
Sensitivity rating
Quality rating
Be the first to leave a review

Applications

  • ELISA (ELISA)
  • Immunohistochemistry (IHC)

Antibody Overview

IHC staining of human tonsil tissue, diluted at 1:200.

CD68 Monoclonal Antibody

0.0/5.0
|0 Reviews

Why request a quote through SelectScience?

  • EasyIt’s quick and simple to do
  • FastYour inquiry will be delivered straight to the manufacturer
  • FreeYou’re under no obligation
  • SecureWe only pass your details on to trusted suppliers at your request
  • Save timeSubmit your details once and make multiple inquiries

  • (Opens in new tab)
  • (Opens in new tab)
  • (Opens in new tab)
Fields & Topics
  • Life Sciences
  • Drug Discovery & Development
  • Clinical Diagnostics
  • Environmental
  • Materials
  • Food & Beverage
  • General Lab
  • Lab Automation
  • Lab Informatics
  • Separations
  • Spectroscopy
  • Forensics
  • Cannabis Testing
Products & Reviews
  • All Products & Reviews
  • All Antibodies & Reviews
  • Write a Review
News & Insights
  • News & Articles
  • Events & Summits
  • Webinars
  • TechTalks
  • Editorial features
  • Immersive Content
  • Accelerating Science
Resources
  • Applications & Methods
  • How-to-Buy eBooks
  • Videos
Sponsors / Client
  • Media Kit
  • Reviews Program
  • Insights for Marketers
  • Seal of Quality
  • Case Studies
  • Testimonials
  • Editorial & Production Guidelines
  • Terms & Conditions of Business
  • Data Sharing Annex
About us
  • About Us
  • Careers
  • Contact Us
  • Corporate Social Responsibility Statement

SelectScience Brands

The Scientists Channel Logo
Scientists Choice Awards Logo

Awards

Queens Awards for Enterprise Logo
UK Life Sciences Award Logo
  • Terms
  • Cookie Policy
  • Acceptable use policy
  • Privacy

© SelectScience 2026

Login

New to SelectScience?
Register for free today

SelectScience
  • (Opens in new tab)
  • (Opens in new tab)
  • (Opens in new tab)
Join Free
Accelerating Science