Product & ReviewsAntibodies
Anti-Human RBM45 Antibody
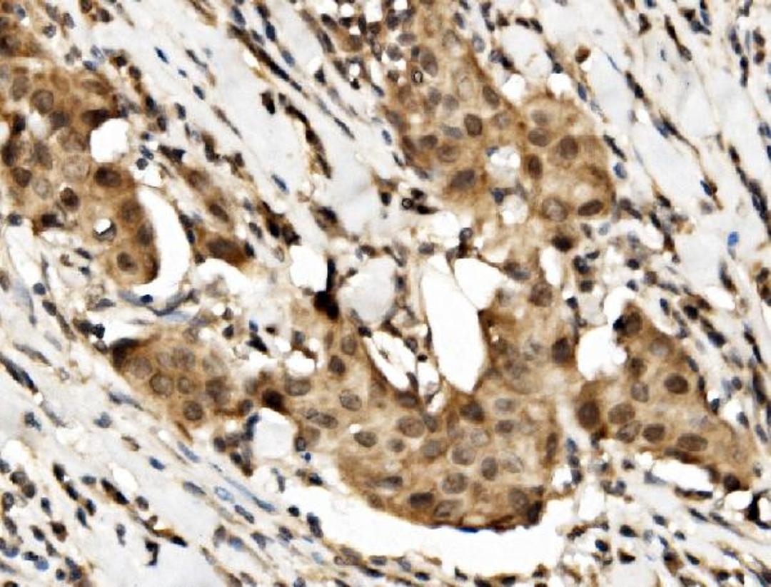
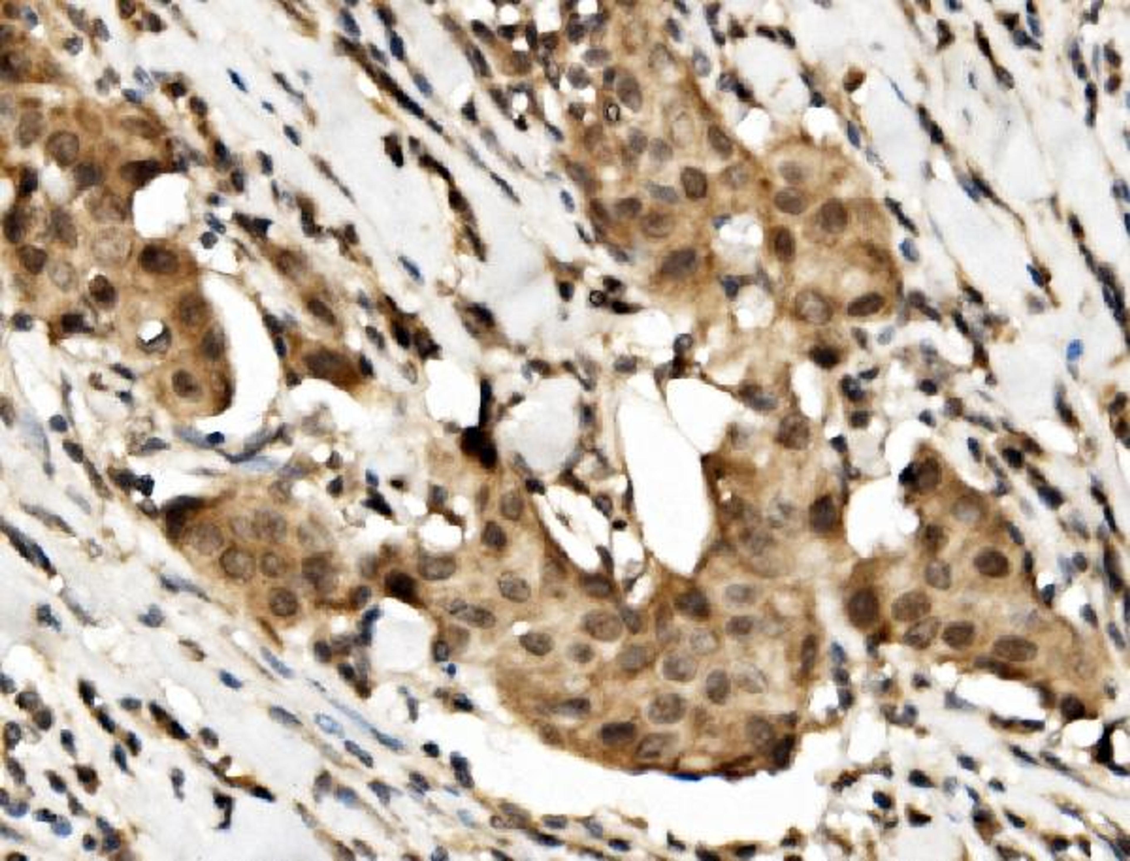
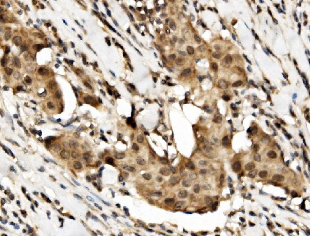
Boster Bio Polyclonal Anti-RBM45 Antibody catalog # DZ11111-1. Tested in IHC-P application. This antibody reacts with human and mouse.
Product Details
- Cat. No.
- DZ11111-1
- Type
- Primary Antibody
- Clonality
- Polyclonal
- Host
- Rabbit

The supplier does not provide quotations for this antibody through SelectScience. You can search for similar antibodies in our Antibody Directory.
Reviews
Applications
Antibody Overview
About the company

Boster Bio
Focused on producing well-validated antibodies and ELISA kits


