Viscover Micro-CT Contrast Agents - ExiTron™
Viscover provides the broadest portfolio of imaging agents tailored for your pre-clinical micro-CT studies.

The supplier does not provide quotations for this product through SelectScience. You can search for similar products in our Product Directory.
Viscover provides the broadest portfolio of imaging agents tailored for your pre-clinical micro-CT studies.
ExiTron contrast agents have been specifically developed to provide micro-CT with long sought-after soft-tissue contrast. Novel nanomaterials help extend the application of any micro- CT far beyond mere bone scans.
A unique portfolio to meet the demands of CT
Our innovative ExiTron agents enable targeted high resolution imaging of tumors and organs with ease.
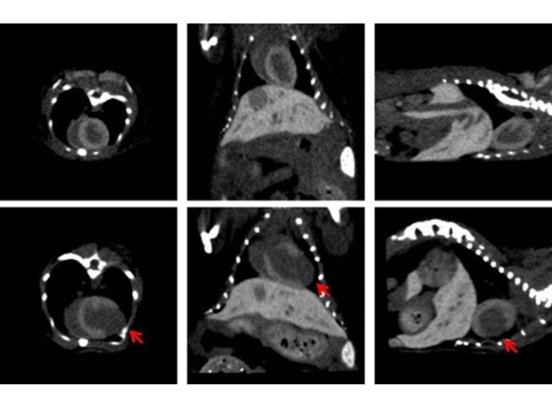
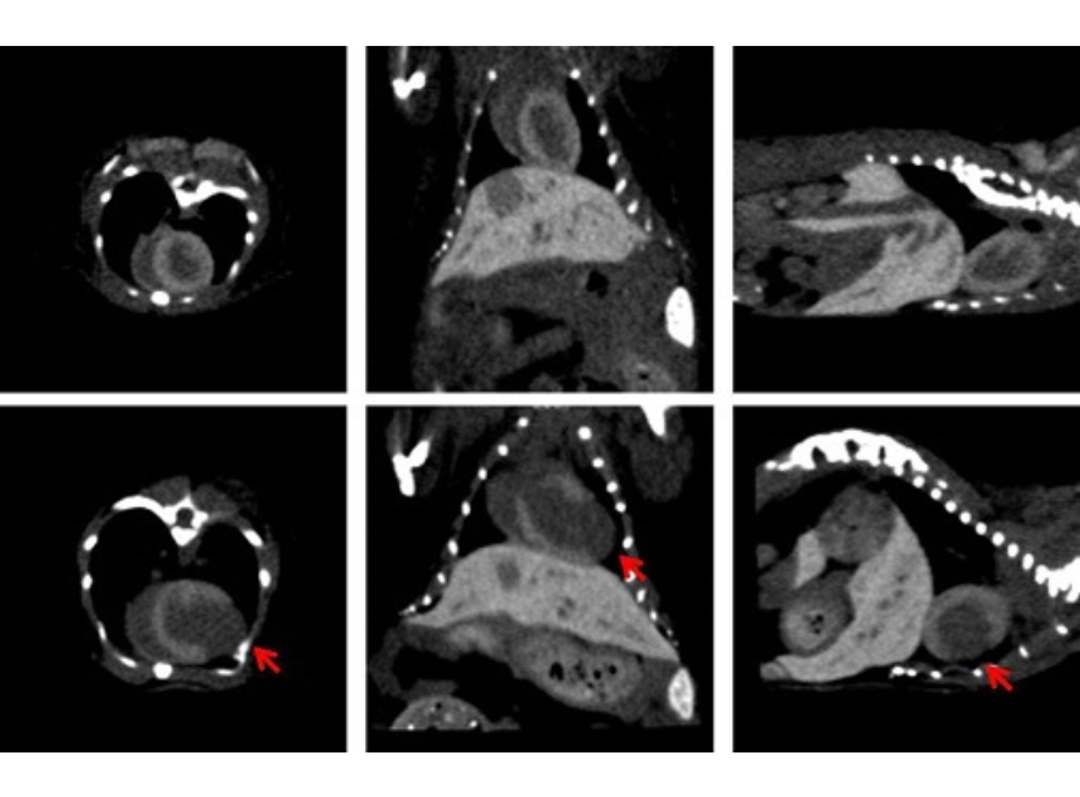
- Exceptional high-resolution CT angiography
- Long-term organ-specific (liver/spleen) imaging
- Monitoring of cardiovascular pathologies
- Tumor vascularization and angiogenesis studies
- Imaging of brown adipose tissue
- PET/CT imaging studies with enhanced soft-tissue CT contrast
- Therapeutic efficacy monitoring













