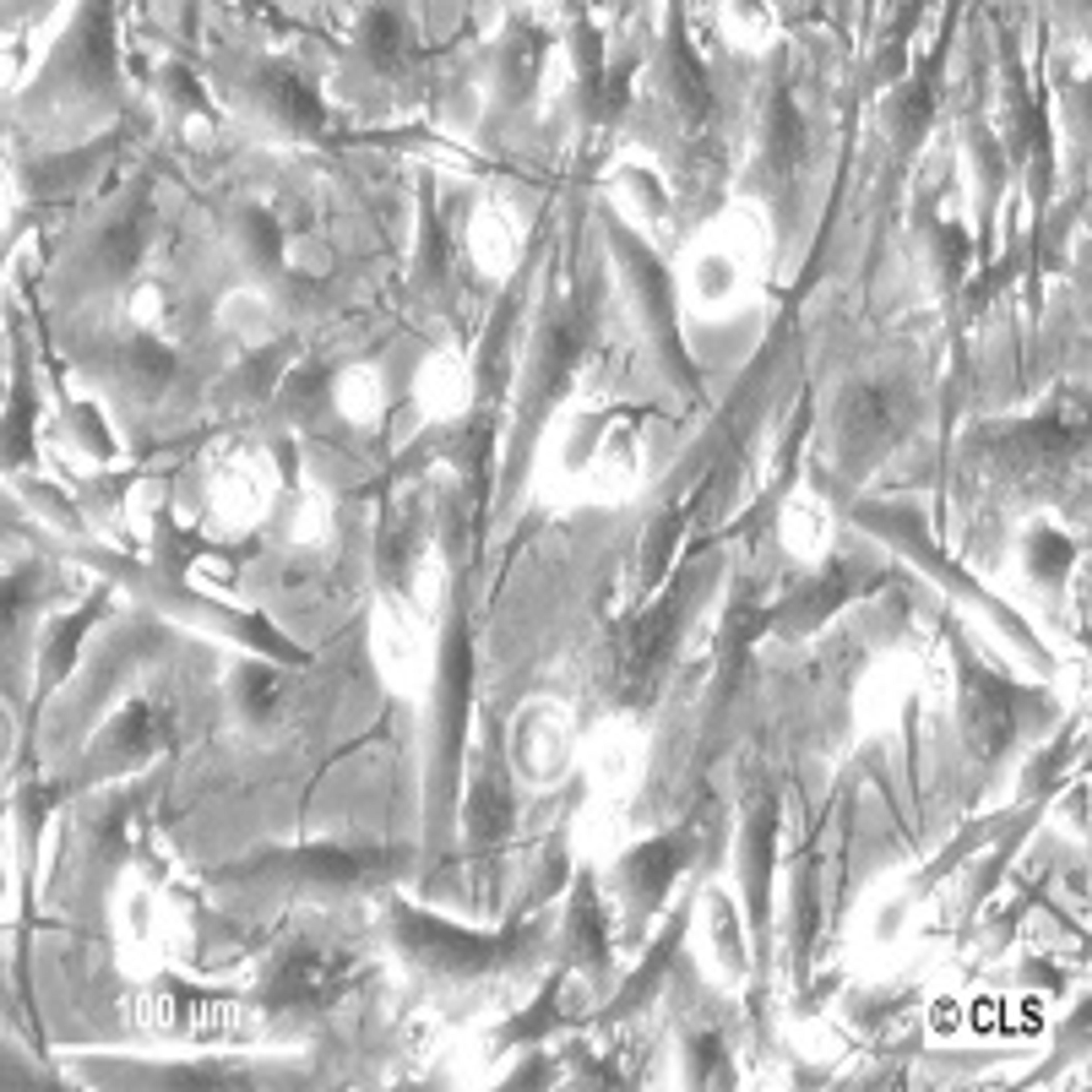
U-251 MG
Human Brain glioblastoma cell line. Frozen cryovial. 1.5 Mio. cells/ml.

The supplier does not provide quotations for this product through SelectScience. You can search for similar products in our Product Directory.
Human Brain glioblastoma cell line U-251 MG
Organism: Homo sapiens (human)
Ethnicity: Caucasian
Gender: Male
Tissue: Brain
Morphology: Epithelial
Celltype: Glioblastoma
Growth Properties: Monolayer, adherent
Description: Authentication studies performed at ATCC and others, the identity of the U-373 MG cell line has been questioned. Our own authentication via STR analysis as well as morphological and immunologial analysis has revealed that U-373 MG is identical to U-251 MG.













