Trichrome Stain Kit (Connective Tissue Stain)
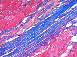
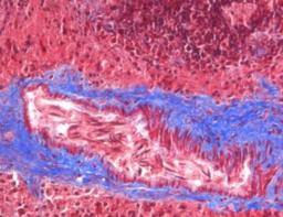
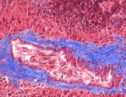
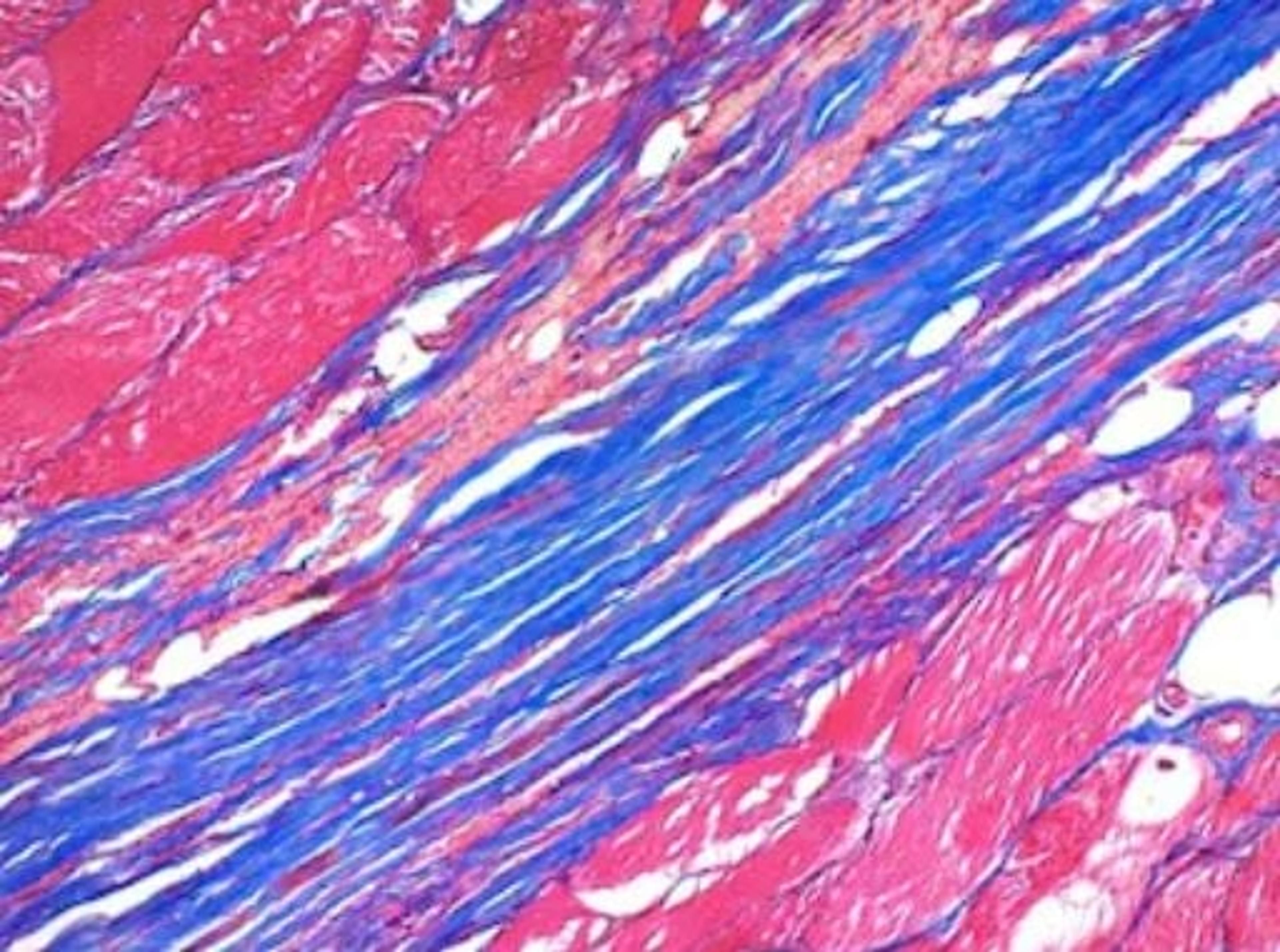
Trichrome Stain Kit (Connective Tissue Stain) ab150686 is intended for use in the histological visualization of collagenous connective tissue fibers in tissue sections.

The supplier does not provide quotations for this product through SelectScience. You can search for similar products in our Product Directory.
Great results! Makes staining so easy.
Analyze fibrotic cartilage in the myocardium
I achieve high quality and reproducible histological images. This kit is incredibly easy to use. Collagen is stained bright blue and the microscopic images are beautiful.
Review Date: 29 Nov 2021 | Abcam plc
The trichrome stain kit may be used on formalin-fixed, paraffin-embedded. For frozen sections, it will require optimization by the user.
Details
Muscle Fibers: Red
Nuclei: Dark Red to Black/Blue
Control Tissue: Lung, Uterus, Small Intestine, Stomach.

















