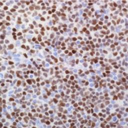
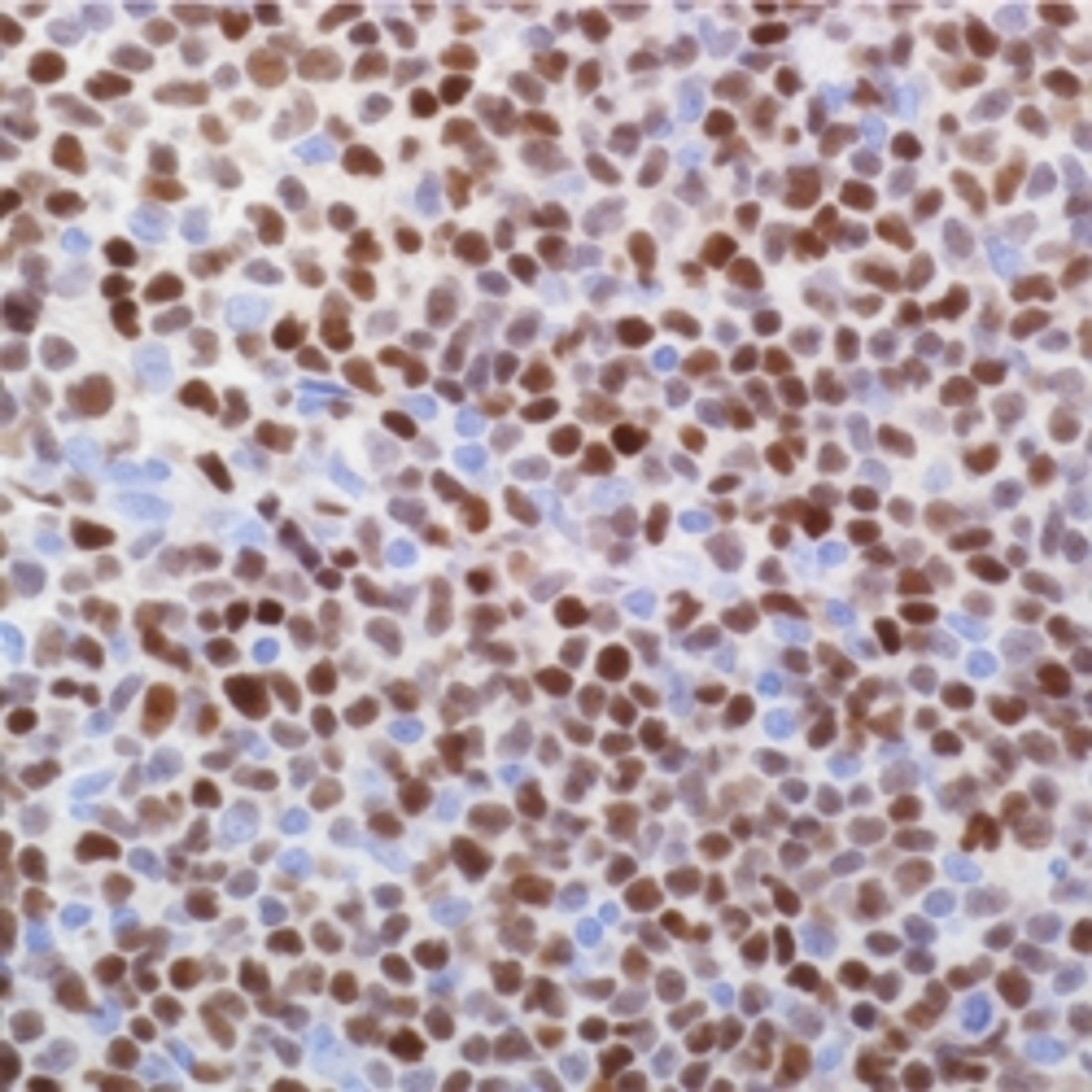
SOX-11 (MRQ-58)
SOX-11 (MRQ-58) Mouse Monoclonal Antibody
SOX-11 which is a member of the SOX (SRY-related HMG-box) family is a transcription factor normally expressed in the developing human central nervous system and plays a role in embryonic cell determination. Studies show that SOX-11 can be used as a marker for mantle cell lymphoma (MCL).

















