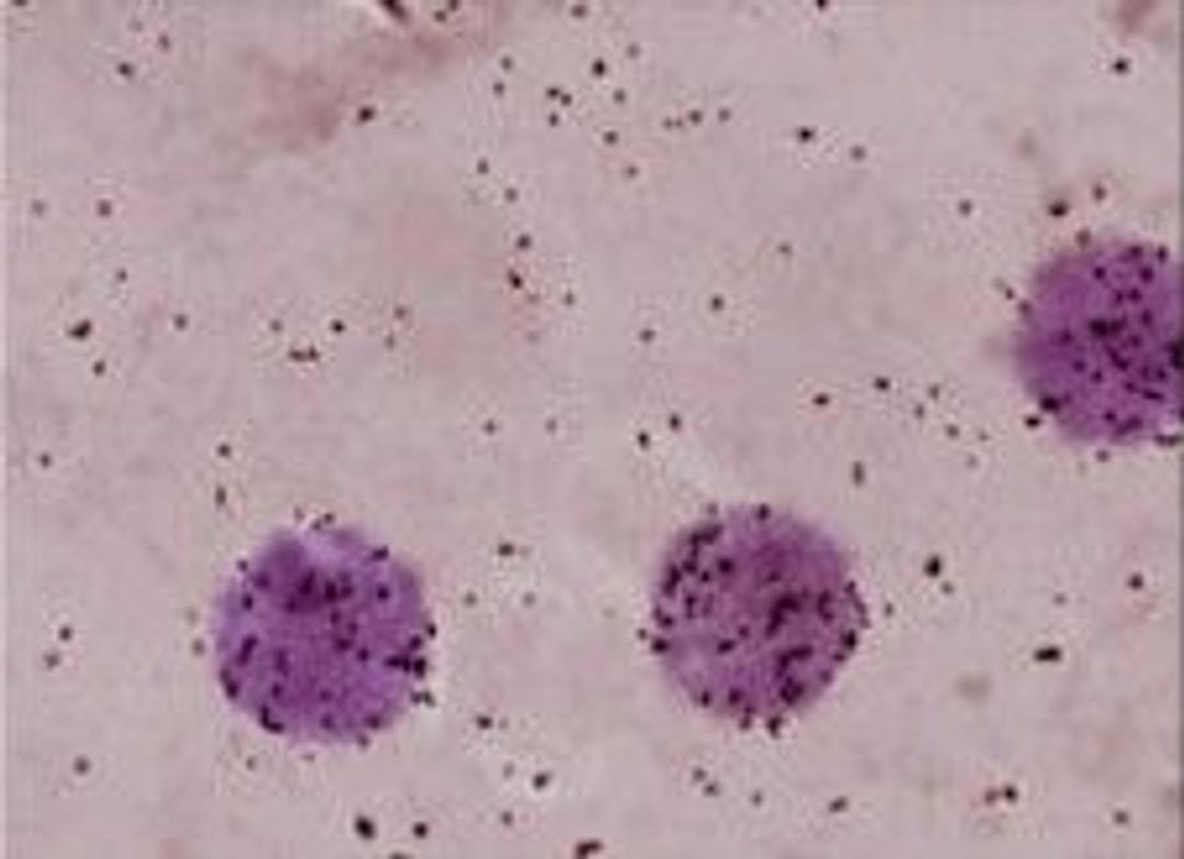
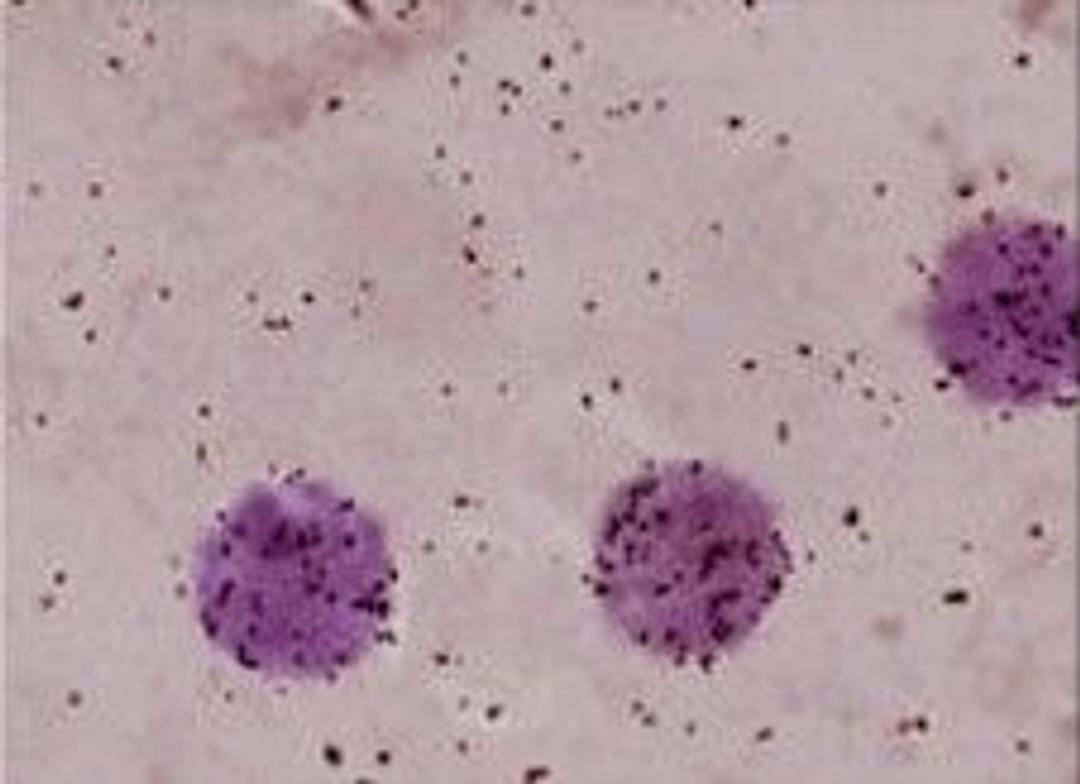
Sorcerer UDS for Unscheduled DNA Synthesis
Sorcerer UDS provides flexible approach to the UDS assay based upon our Sorcerer automatic image analysis system. The system is a fully validated suite of software for UDS compliant with Good Laboratory Practice and FDA 21 CFR Part 11, consisting of a series of modules for creating studies, randomisation, slide scoring, data saving and production of experimental summaries. Interactive automated scoring with calculation of n…

The supplier does not provide quotations for this product through SelectScience. You can search for similar products in our Product Directory.
Sorcerer UDS provides flexible approach to the UDS assay based upon our Sorcerer automatic image analysis system. The system is a fully validated suite of software for UDS compliant with Good Laboratory Practice and FDA 21 CFR Part 11, consisting of a series of modules for creating studies, randomisation, slide scoring, data saving and production of experimental summaries.
- Interactive automated scoring
with calculation of net grain on a cell by cell basis - Accomodates any study design
Up to 8 experiments, up to 20 dose groups per experiment - Includes all statistics required by OECD 486
with means, standard deviations and % cells in repair - Slide randomisation and de-coding
with optional slides for additional data collection - Meet regulatory requirements
with encoded audit trails, GLP reason prompts and more - User account management options
for GLP and FDA 21 CFR Part 11 compliance - Comprehensively tested and validated
in accordance with our stringent ISO 9001:2000 and TickIT approved testing procedure


















