Schiff's reagent Intense
Universal Reagents

The supplier does not provide quotations for this product through SelectScience. You can search for similar products in our Product Directory.
A nice staining kit for sperm head morphometry
Sperm morphometry
The classic Feulgen kit has found its place in our sperm lab protocols. It is a bit lengthy but the stained slides are perfect for sperm head morphometry. We used it on several domestic and wild animal species with success.
Review Date: 15 Nov 2021 | Merck KGaA, Darmstadt, Germany
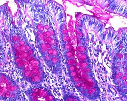
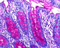
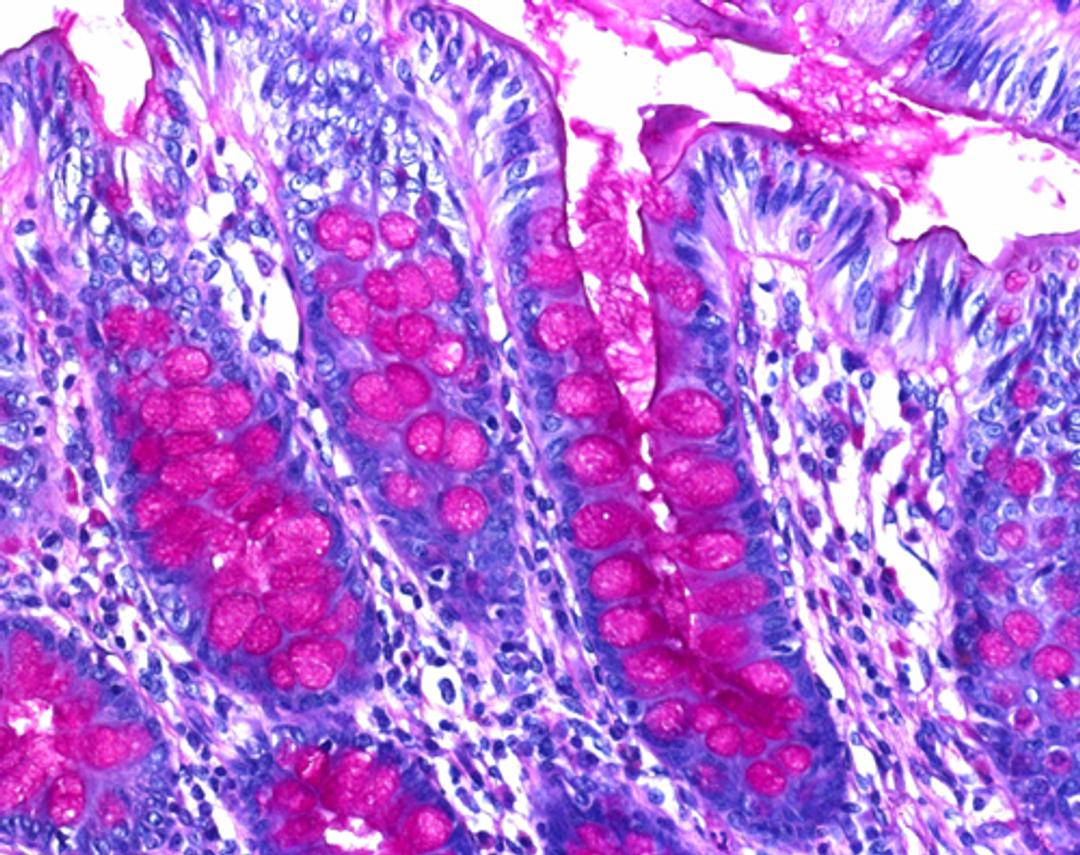
Schiff’s reagent Intense - for the detection of aldehyde and mucosubstances in microscopy” is used for human-medical cell diagnosis and serves the histological investigation of sample material of human origin. It is a ready-to-use staining solution that when used together with other in vitro diagnostic products from our portfolio makes target structures (by fi xing, embedding, staining, counterstaining, mounting) in human-histological specimen material, for example histological sections of e.g. the intestine or liver, evaluable for diagnostic purposes.
















