RNAscope™ Chromogenic Assays
Independent of your genes of interest, our easy RNA in situ hybridization assay uses common reagents and protocols; providing universal assay conditions. All RNA-ISH kits contain reagents in a convenient ready-to-use (RTU) format, and chromogenic dyes are available to interrogate a single or two genes simultaneously.

The supplier does not provide quotations for this product through SelectScience. You can search for similar products in our Product Directory.
Easy to use and very effective RNA detection, Go RNAscope.
RNA in situ hybridization
RNAscope chromogenic assay is a great product for in situ hybridization and detection of RNA in a tissue sections. I have used this kit on 6-7 month old FFPE sections and it works beautifully. After sales, the company provides outstanding product support and suggestions on assay optimization.
Review Date: 22 Jul 2020 | Advanced Cell Diagnostics
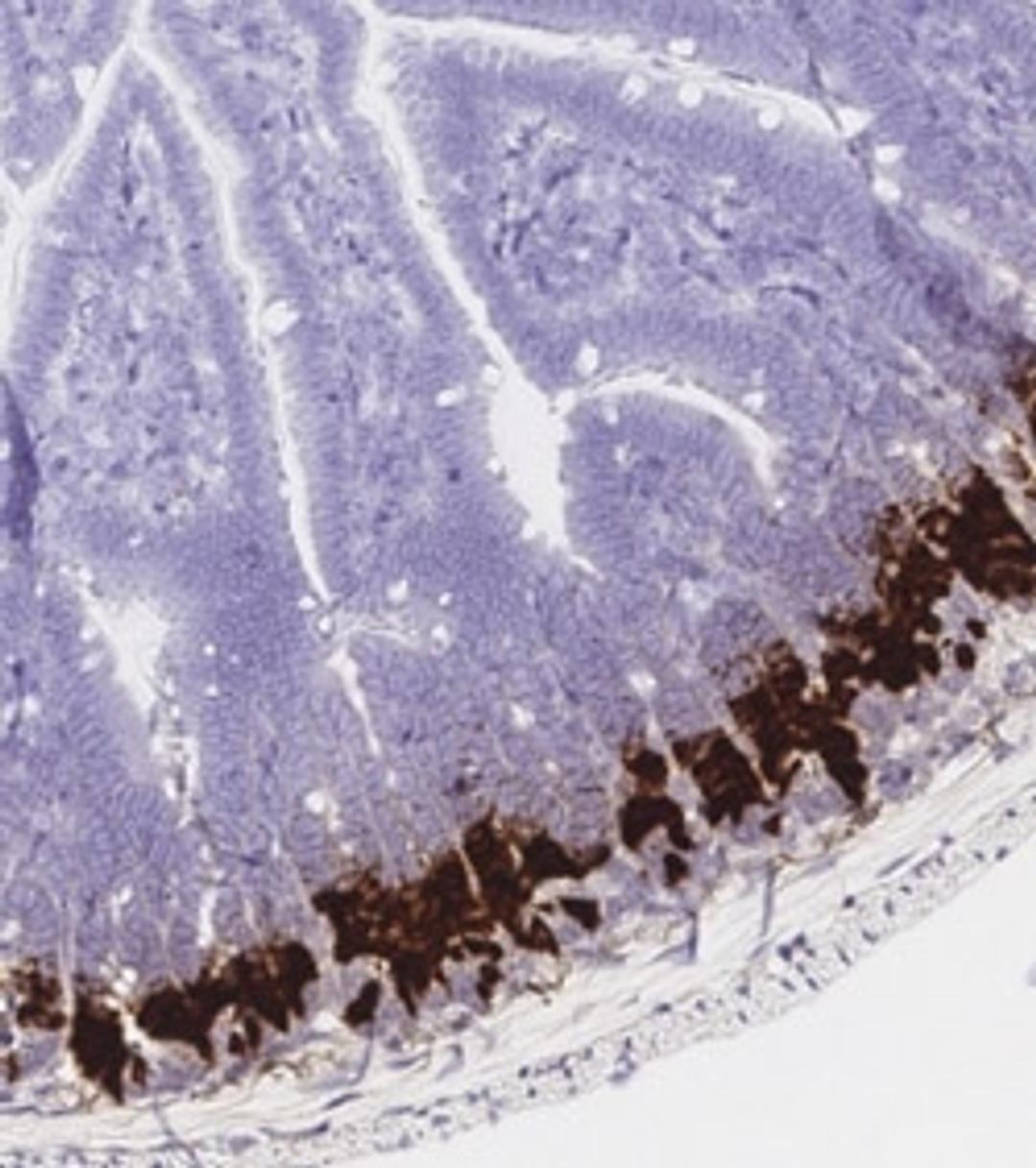
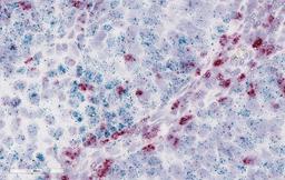
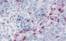
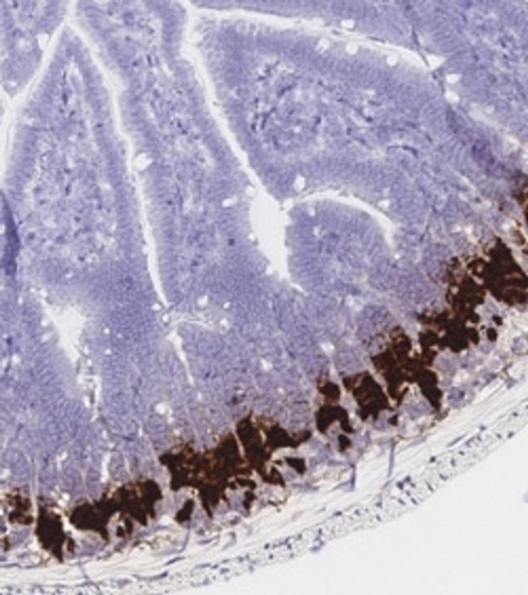
Independent of your genes of interest, our easy RNA in situ hybridization assay uses common reagents and protocols; providing universal assay conditions. All RNA-ISH kits contain reagents in a convenient ready-to-use (RTU) format, and chromogenic dyes are available to interrogate a single or two genes simultaneously. The RNAscope 2.5 High Definition (HD)—BROWN, RED and DUPLEX Assays, are based on ACD’s patented signal amplification and background suppression technology. The assay uses a novel and proprietary method of in situ hybridization (ISH) to visualize single RNA molecules per cell in a multitude of sample types mounted on slides. RNAscope Assays do not require the RNA-free environment used for traditional ISH. Chromogenic assays are ideal starter kit for the first time users. Our very robust assays give reliable results which are ideal for archiving due to the permanent staining. It is the standard in molecular pathology diagnostics, usable for a wide source of samples and the results are visible under any standard bright field microscope.
- Single molecule RNA detection
- Single cell resolution
- Sensitive
- Specific
- Spatial Context
Tissue biodistribution of AAV-based gene therapy
AAV tissue biodistribution and cell tropism are essential pieces of information for every gene therapy development program. The RNAscope® ISH assay is a highly informative method for quantitative, cell-specific measurement of AAV vector and transgene expression. The RNAscope® assay can provide single-cell biodistribution data for every tissue type. In this application note, ACD demonstrates the use of the RNAscope® assay to determine therapeutic AAV vector cell tropism and transgene expression in non-human primate retina.
Quantitative RNAscope image analysis guide
The RNAscope® Duplex and Multiplex assays enable simultaneous detection of more than one target RNA thus facilitating the evaluation of multiple cell phenotypes and spatial relationships within a complex tissue microenvironment. Download the guide below to find out how HALO® imaging software can create an easier solution with RNAscope® assays.
Preclinical CAR-T cell target safety, biodistribution, and tumor infiltration analysis using the RNAscope ISH assay
In this application note, Advanced Cell Diagnostics explains how RNAscope in situ hybridization (ISH) technology can be used to detect activated CAR-T cells and the low expression of the CAR target antigen.
Leveraging multi-omic technology to better understand cognitive dysfunction
Learn how a group of MIT researchers are using novel assay technology to better understand anterior thalamic dysfunction



















