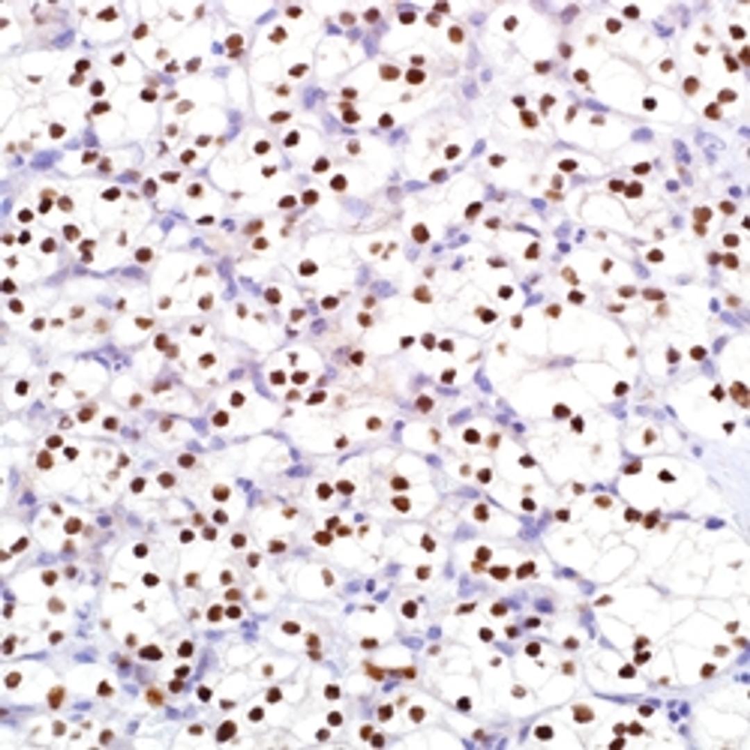
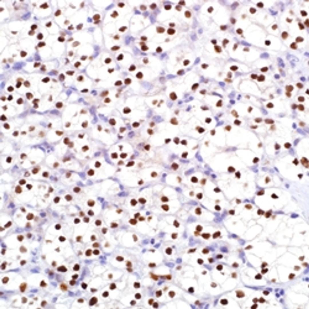
PAX-8 (MRQ-50)
PAX-8 (MRQ-50) Mouse Monoclonal Antibody
PAX-8 is a transcription factor expressed during embryonic development of Müllerian organs, kidney, and thyroid, with continued expression in some epithelial cell types of these mature tissues. It can be useful for marking several types of carcinoma including ovarian serous carcinoma, clear cell renal cell carcinoma, and papillary thyroid carcinoma. Additionally, PAX-8 is not found in the epithelial cells of the breast, lung, mesothelium, stomach, colon, pancreas and other sites.
COVID-19 testing using lateral flow assays: sensitive, rapid, easy to use and point-of-care
Learn about the potential of lateral flow assays in detecting symptomatic and asymptomatic COVID-19 infections


















