PAS staining kit
Histological Staining Kits

The supplier does not provide quotations for this product through SelectScience. You can search for similar products in our Product Directory.
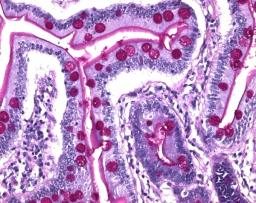
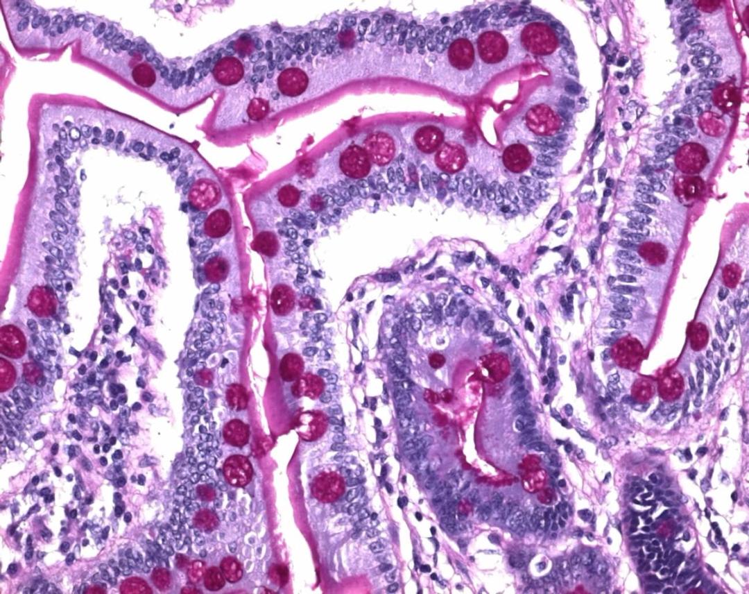
The PAS (periodic acid-Schiff) staining is one of the most widely used chemical methods in histology and is specific in staining non-substituted polysaccharides, neutral mucopolysaccharides, muco- and glycoproteins, as well as glycol- and phospholipids. The PAS staining kit containsready-to-use Schiff's reagent and periodic acid solution for the staining of approx. 2000 slides. The combination of PAS staining with Alcian blue allows the additional identification of acidic mucosubstances (glycosaminoglycans). The kit can be used for clinical diagnostic purposes and in laboratory accreditation processes as it is certified and registered as IVD and CE product.
















