OSTEOSOFT®
Universal Reagent Decalcification

The supplier does not provide quotations for this product through SelectScience. You can search for similar products in our Product Directory.
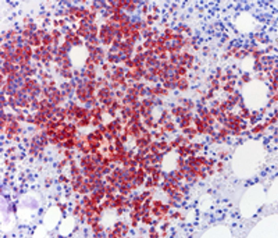
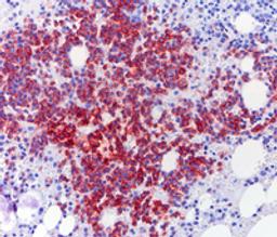
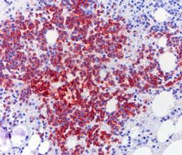
Decalcification is necessary for optical microscopic examinations of hard tissue in routine histological procedures. For the decalcification of sensitive, calcium-containing tissues, such as iliac crest biopsies, OSTEOSOFT® can be used. Its formulation is based on EDTA. Its pendant, OSTEOMOLL®, can be used for the decalcification of hard tissue such as teeth and bone as its formulation is based on formaldehyde and acetic acid. Both solutions are color-coded, to distinguish them from each other, fixatives and solvents used in the histological laboratory. OSTEOSOFT® is color-coded yellow, OSTEOMOLL® is color-coded blue. Whereby OSTEOSOFT® preserves the antigen structures in the tissue, thus, an IHC analysis can be performed, OSTEOMOLL® will be used for tissues that are not destined for antibody analysis. Both decalcifiers can be used for clinical diagnostic purposes and in laboratory accreditation processes as they are certified and registered as IVD and CE product. OSTEOSOFT® is used only once; fresh solution must be used for each tissue.
















