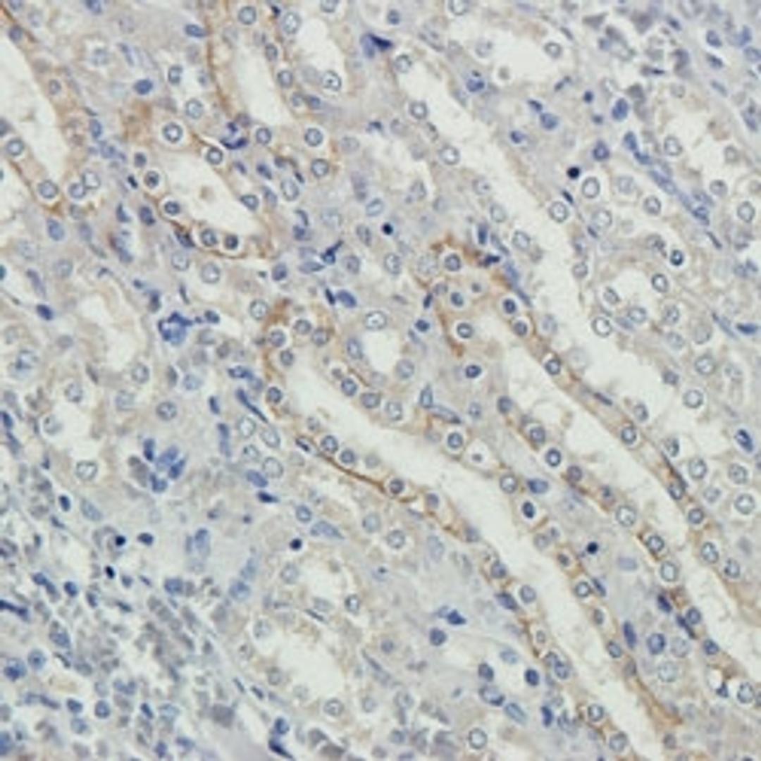
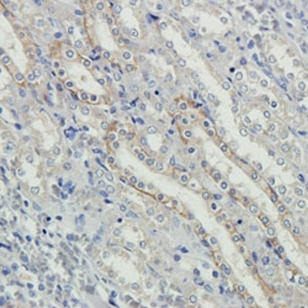
NKp46 antibody
Rabbit polyclonal antibody to NKp46.

The supplier does not provide quotations for this product through SelectScience. You can search for similar products in our Product Directory.
Rabbit polyclonal antibody to NKp46.
- Clonality Polyclonal
- Host Rabbit
- Reactivity Human, Mouse, Rat
- Conjugate Unconjugated
- Istotype IgG
- Gene 9437
- Quantity 100µg
- Format NULL
- Storage Store at 4°C for up to two weeks. For long term storage; aliquot and store at -20°C; avoid freeze/thaw cycles.
- Buffer 10 mM PBS; 0.02% sodium azide
Applications: Immunofluorescence (IF), Immunohistochemistry (Paraffin-Embedded Sections) (IHC (P)), Western Blotting (WB)
Cancer Pathways – Apoptosis Signaling
This poster provides an overview of apoptosis, the process of programmed cell death characterized by distinct morphological characteristics and energy-dependent biochemical mechanisms.
Cancer Pathway Compendium: Downloadable Content for Your Lab
Receive your 4 free cancer pathway posters for MAPK, NF-ƘB, WNT and JAK/STAT, to help you select the best antibodies and small molecules for your cancer research assays



















