LEUCOGNOST NASDCL NEW
Hematology Cytochemical Reagents

The supplier does not provide quotations for this product through SelectScience. You can search for similar products in our Product Directory.
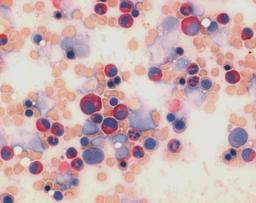
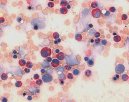
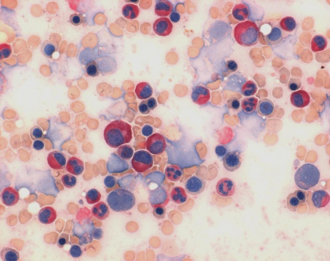
Naphthol AS-D chloroacetate esterase causes the enzymatic hydrolysis of naphthol AS-D chloroacetate to a naphthol compound, which in turn reacts with diazonium salt to form an insoluble red-violet dye. Napthol AS-D chloroacetate esterase reacts clearly with both mature and immature granulocytes. Intensive enzyme activity can also be shown in the case of myelocytes, metamyelocytes, stab cells and mast cells. Activity may be detected in myeloblastic leukemia cells, promyelocytes and Auer bodies. Monocytes rarely show activity. Eosinophiles, basophiles, megakaryocytes, lymphocytes and red cell precursors show no or at most very weak reaction.
















