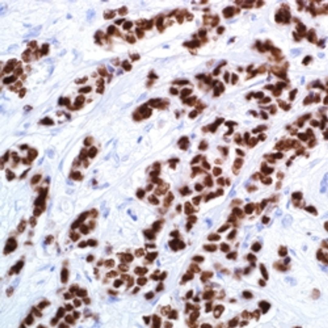
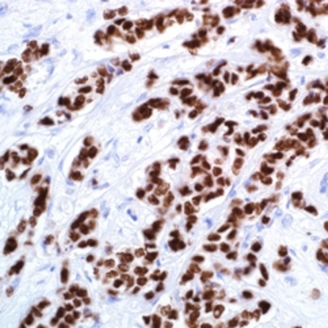
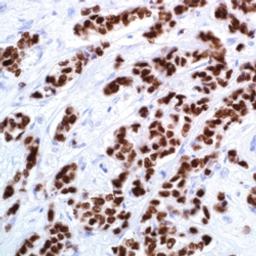
GATA3 (L50-823)
GATA3 (L50-823) Mouse Monoclonal Antibody
GATA binding protein 3 or GATA3, is a zinc finger transcription factor and plays an important role in promoting and directing cell proliferation, development, and differentiation in many tissues and cell types. The human GATA3 gene has been mapped to chromosome 10p15.3 GATA3 expression is primarily seen in breast carcinoma and urothelial carcinoma. Anti-GATA3 can also be useful in the identification of unknown primary carcinoma when carcinomas of the breast or bladder are a possibility.
Correlating breast cancer subtypes to clinical outcomes and targeted therapeutics in an era of personalized medicine
Discover how immunohistochemistry is supporting the identification of molecular subtypes of breast cancer


















