Fontana-Masson Stain Kit
Immunohistochemistry Stains

The supplier does not provide quotations for this product through SelectScience. You can search for similar products in our Product Directory.
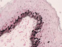
Fontana-Masson staining is used for the demonstration of argentaffin substances such as melanin, argentaffin granules and some neurosecretory granules. Staining patterns may be useful in cases of carcinoid tumors and melanoma.
Rapid Fontana-Masson staining
The Fontana-Masson stain is used in the histological visualization of melanin and argentaffin (silver-binding) cells, found in tissue sections. The standard protocol, room temperature at 24°C, for this stain is 60 minutes for argentaffin or 30 minutes for melanin detection. In this study, MilliporeSigma evaluates a new rapid microwave protocol designed to be 30x faster than the standard.

















